-
By Zach Dupureur
- Uploaded on Nov 25, 2015.
- Last modified by Caroline Bozell on Feb 24, 2016.
- Rating
- Appears in
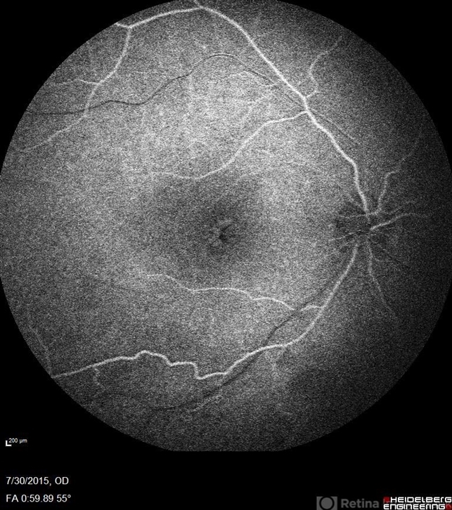
- Retinal Dystrophy of 24 Year Old Male
- Condition/keywords
- Goldmann-Favre Syndrome, juvenile retinoschisis, retinal dystrophy
- Photographer
- Zach Dupureur, OCT-C
- Description
- Fluorescein angiography of a 24-year-old male. Juvenile retinoschisis on OCT. FA shows outer retinal staining. Could be associated with Goldman Farve Syndrome.

Initializing download.