-
By SHISHIR VERGHESE, MS, FVRS, FAICO (Retina)
EYE MICROSURGERY AND LASER CENTRE, TIRUVALLA,KERALA - Uploaded on Mar 4, 2021.
- Last modified by Caroline Bozell on Mar 4, 2021.
- Rating
- Appears in
- Miscellaneous
- Condition/keywords
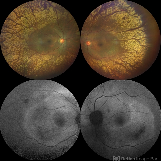
- retinitis pigmentosa, tapetoretinal reflex
- Photographer
- SHISHIR VERGHESE, ARAVIND EYE HOSPITAL AND POSTGRADUATE INSTITUTE OF OPHTHALMOLOGY, COIMBATORE
- Imaging device
-
Fundus camera
ZEISS, CLARUS - Description
- Enhanced tapetoretinal reflex in a 70-year-old female patient with retinitis pigmentosa along with corresponding auto-fluorescence showing patchy hypoautofluorescence with surrounding granular hyperautofluorescence

Initializing download.