-
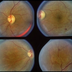
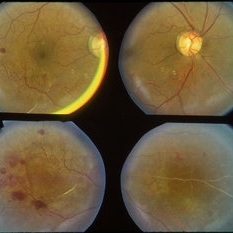
PDR
Jan 24 2014 by Howard Schatz, MD
63-year-old female. Right eye 20/25 and left eye 20/125.
-
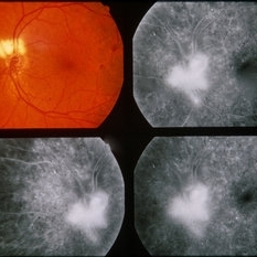
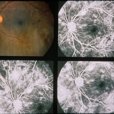
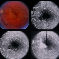
PDR
Jan 24 2014 by Howard Schatz, MD
62-year-old female. Right eye 20/25 and left eye 20/50.
-
PDR
Jan 24 2014 by Howard Schatz, MD
64-year-old white female. 20/25 and 5/200.
-
PDR
Jan 24 2014 by Howard Schatz, MD
64-year-old white female. Proliferative diabetic retinopathy.
-
PDR
Jan 24 2014 by Howard Schatz, MD
65-year-old white female. 20/40 and 6/200. Proliferative diabetic retinopathy.
-
PDR
Jan 24 2014 by Howard Schatz, MD
65-year-old white female. 20/30 and 6/200. Proliferative diabetic retinopathy.
-
PDR
Jan 24 2014 by Howard Schatz, MD
66-year-old white female. 20/30 and 20/70+. Proliferative diabetic retinopathy
-
PDR
Jan 24 2014 by Howard Schatz, MD
65-year-old white female with right eye 20/200 and left eye 20/64. Proliferative diabetic retinopathy.
-
PDR
Jan 24 2014 by Howard Schatz, MD
30-year-old white male with 20/20-2 and 20/25-2.
-
PDR
Jan 24 2014 by Howard Schatz, MD
31-year-old white male with 20/30-3 and 20/30-1.
-
PDR
Jan 24 2014 by Howard Schatz, MD
31-year-old white male with 20/22-2 and 20/200.
-
PDR
Jan 24 2014 by Howard Schatz, MD
31-year-old white male with 20/25-2ph and 20/200ph.
-
PDR
Jan 24 2014 by Howard Schatz, MD
32-year-old white male with 20/20 and 20/20.
-
PDR
Jan 24 2014 by Howard Schatz, MD
32-year-old white male with 20/20-3 and 20/200.
-
PDR
Jan 24 2014 by Howard Schatz, MD
33-year-old white male with 20/25-2ph and 20/25-1ph.
-
PDR
Jan 24 2014 by Howard Schatz, MD
Right eye 20/100. 6 weeks post-op.
-
PDR
Jan 24 2014 by Howard Schatz, MD
Right eye 20/100. 6 weeks post-op.
-
PDR
Jan 24 2014 by Howard Schatz, MD
Left eye 20/40.
-
PDR
Jan 27 2014 by Howard Schatz, MD
Left eye 20/70. Proliferative diabetic retinopathy.
-
PDR
Jan 27 2014 by Howard Schatz, MD
Right eye 20/70. Proliferative diabetic retinopathy.
-
PDR
Jan 27 2014 by Howard Schatz, MD
Proliferative diabetic retinopathy.
-
PDR
Jan 27 2014 by Howard Schatz, MD
34-year-old white female. 20/200 and 20/30.
-
PDR
Jan 27 2014 by Howard Schatz, MD
Proliferative diabetic retinopathy.
-
PDR
Jan 27 2014 by Howard Schatz, MD
Proliferative diabetic retinopathy. 20/70 and 20/30.
-
PDR
Jan 27 2014 by Howard Schatz, MD
37-year-old white female. 20/70 and 20/50. Proliferative diabetic retinopathy.
-
PDR
Jan 27 2014 by Howard Schatz, MD
21-year-old white female. 20/70 and 20/200. Proliferative diabetic retinopathy.
-
PDR
Jan 27 2014 by Howard Schatz, MD
22-year-old white female. 10/200 and 10/200. Proliferative diabetic retinopathy.
-
PDR
Jan 27 2014 by Howard Schatz, MD
23-white-female. 20/200- and 20/200. Proliferative diabetic retinopathy.
-
PDR
Jan 27 2014 by Howard Schatz, MD
20/50 and 2/200. Proliferative diabetic retinopathy.
-
PDR
Jan 27 2014 by Howard Schatz, MD
37-year-old white female. II BDR and PDR. Right eye 9/200 and left eye 20/40.
-
PDR
Jan 27 2014 by Howard Schatz, MD
58-year-old white male. 20/20 OU. Proliferative diabetic retinopathy.
-
PDR
Jan 27 2014 by Howard Schatz, MD
59-year-old white male. 20/25 OU. proliferative diabetic retinopathy.
-
PDR
Jan 27 2014 by Howard Schatz, MD
20/30 and 20/20. Proliferative diabetic retinopathy.
-
PDR
Jan 27 2014 by Howard Schatz, MD
Proliferative diabetic retinopathy.
-
PDR
Jan 27 2014 by Howard Schatz, MD
Proliferative diabetic retinopathy.
-
PDR
Jan 27 2014 by Howard Schatz, MD
20/30 OU. Proliferative diabetic retinopathy.
-
PDR
Jan 27 2014 by Howard Schatz, MD
39-year-old white male. RE 20/32 and LE 20/25. Proliferative diabetic retinopathy.
-
PDR
Jan 27 2014 by Howard Schatz, MD
66-year-old white male. 20/40 and 10/200. Proliferative diabetic retinopathy.
-
PDR
Jan 27 2014 by Howard Schatz, MD
74-year-old white male. Proliferative diabetic retinopathy.
-
PDR
Jan 27 2014 by Howard Schatz, MD
55-year-old white male. 1.4=20/200 and 20/30-. 2.5=8/200 and 20/70. 3.6=10/200 and 20/50-.
-
PDR
Jan 27 2014 by Howard Schatz, MD
25-year-old white female. 20/200 and 20/70. Proliferative diabetic retinopathy.
-
PDR
Jan 27 2014 by Howard Schatz, MD
25-year-old white female. 20/70 and 20/200. Proliferative diabetic retinopathy.
-
PDR
Jan 27 2014 by Howard Schatz, MD
26-year-old white female. 20/200 and 20/50. Proliferative diabetic retinopathy.
-
PDR
Jan 27 2014 by Howard Schatz, MD
35-year-old white male. 20/20 OU.
-
PDR
Jan 27 2014 by Howard Schatz, MD
49-year-old white male. RE 20/20 and LE 20/20. Proliferative diabetic retinopathy.
-
PDR
Jan 28 2014 by Howard Schatz, MD
RE 20/32 and LE 30/320. Proliferative diabetic retinopathy.
-
PDR
Jan 28 2014 by Howard Schatz, MD
RE 20/50 and LE 20/128. Proliferative diabetic retinopathy.
-
PDR
Jan 28 2014 by Howard Schatz, MD
RE 20/50 and LE 20/128. Proliferative diabetic retinopathy.
-
PDR
Jan 28 2014 by Howard Schatz, MD
25-year-old white female. RE 20/32 and LE 20/160. Proliferative diabetic retinopathy.
-
PDR
Jan 28 2014 by Howard Schatz, MD
49-year-old white female. 20/25 OU. Proliferative diabetic retinopathy.
-
PDR
Jan 28 2014 by Howard Schatz, MD
49-year-old white female. 20/25 OU. Proliferative diabetic retinopathy.
-
PDR
Jan 28 2014 by Howard Schatz, MD
Proliferative diabetic retinopathy.
-
PDR
Jan 28 2014 by Howard Schatz, MD
Proliferative diabetic retinopathy.
-
PDR
Jan 28 2014 by Howard Schatz, MD
Proliferative diabetic retinopathy.
-
PDR
Jan 28 2014 by Howard Schatz, MD
Proliferative diabetic retinopathy.
-
PDR
Jan 28 2014 by Howard Schatz, MD
Proliferative diabetic retinopathy.
-
PDR
Jan 28 2014 by Howard Schatz, MD
30-year-old white female. Proliferative diabetic retinopathy.
-
PDR
Jan 28 2014 by Howard Schatz, MD
30-year-old white female. Proliferative diabetic retinopathy.
-
PDR
Jan 28 2014 by Howard Schatz, MD
30-year-old white female. 20/20 and 20/40. Proliferative diabetic retinopathy.
-
PDR (ASYM)
Jan 28 2014 by Howard Schatz, MD
42-year-old white female. RE 20/32 and LE HM 4'. Proliferative diabetic retinopathy.
-
PDR
Jan 28 2014 by Howard Schatz, MD
70-year-old white female. RE 2/200 and LE 20/25. Proliferative diabetic retinopathy.
-
PDR
Jan 28 2014 by Howard Schatz, MD
75-year-old white female. HM3'. LE 20/80. Proliferative diabetic retinopathy.
-
PDR
Jan 28 2014 by Howard Schatz, MD
23-year-old white female. 20/40. ME P.O. PRP (cleared one year later).
-
PDR
Jan 28 2014 by Howard Schatz, MD
24-year-old white female. 20/30- and NLP. Proliferative diabetic retinopathy.
-
PDR
Jan 28 2014 by Howard Schatz, MD
23-year-old white female. 20/30 and 5/200. Proliferative diabetic retinopathy.
-
PDR
Jan 28 2014 by Howard Schatz, MD
25-year-old white female. 20/40- and NLP. Proliferative diabetic retinopathy.
-
PDR
Jan 28 2014 by Howard Schatz, MD
Proliferative diabetic retinopathy.
-
PDR
Jan 28 2014 by Howard Schatz, MD
Proliferative diabetic retinopathy.
-
PDR
Jan 28 2014 by Howard Schatz, MD
Proliferative diabetic retinopathy.
-
PDR
Jan 28 2014 by Howard Schatz, MD
Proliferative diabetic retinopathy.
-
PDR
Jan 29 2014 by Howard Schatz, MD
27-year-old white female. 20/50-and 20/40. Proliferative diabetic retinopathy.
-
PDR
Jan 29 2014 by Howard Schatz, MD
27-year-old white female. HM/0' and 20/25. Proliferative diabetic retinopathy.
-
PDR
Jan 29 2014 by Howard Schatz, MD
28-year-old white female. 20/30- and 20/30-. Proliferative diabetic retinopathy.
-
PDR
Jan 29 2014 by Howard Schatz, MD
33-year-old white male. 20/50 and 20/50. Proliferative diabetic retinopathy.
-
PDR
Jan 29 2014 by Howard Schatz, MD
33-year-old white male. 20/50 and 20/50. Proliferative diabetic retinopathy.
-
PDR
Jan 29 2014 by Howard Schatz, MD
33-year-old white male. 20/100 and 10/200. Proliferative diabetic retinopathy.
-
PDR
Jan 29 2014 by Howard Schatz, MD
33-year-old white male. 20/100 and 10/200. Proliferative diabetic retinopathy.
-
PDR
Jan 29 2014 by Howard Schatz, MD
33-year-old white male. 20/200 and 20/200. Proliferative diabetic retinopathy.
-
PDR
Jan 29 2014 by Howard Schatz, MD
33-year-old white male. 20/200 and 20/200. Proliferative diabetic retinopathy.
-
PDR
Jan 29 2014 by Howard Schatz, MD
33-year-old white male. 2/200 and 2/200. Proliferative diabetic retinopathy.
-
PDR
Jan 29 2014 by Howard Schatz, MD
33-year-old white male. 20/200 and 2/200. Proliferative diabetic retinopathy.
-
PDR
Jan 29 2014 by Howard Schatz, MD
20/30. Proliferative diabetic retinopathy.
-
PDR
Jan 29 2014 by Howard Schatz, MD
29-year-old white male. 20/70 and 20/50. Proliferative diabetic retinopathy.
-
PDR
Jan 29 2014 by Howard Schatz, MD
Proliferative diabetic retinopathy.
-
PDR
Jan 29 2014 by Howard Schatz, MD
65-year-old white male. RE 20/160 and LE 20/50. Proliferative diabetic retinopathy.
-
PDR
Jan 29 2014 by Howard Schatz, MD
28-year-old white female. 20/20 OU. Proliferative diabetic retinopathy.
-
PDR
Jan 29 2014 by Howard Schatz, MD
28-year-old white female. RE 20/20 and LE 20/15. Proliferative diabetic retinopathy.
-
PDR
Jan 29 2014 by Howard Schatz, MD
28-year-old white female. RE 20/20 and LE 20/15. Proliferative diabetic retinopathy.
-
PDR
Jan 29 2014 by Howard Schatz, MD
32-year-old white female. RE 20/25 and LE 20/20. Proliferative diabetic retinopathy.
-
PDR
Jan 29 2014 by Howard Schatz, MD
30-year-old white female. RE 20/25 and LE 20/40. Proliferative diabetic retinopathy.
-
PDR
Jan 29 2014 by Howard Schatz, MD
34-year-old white female. RE 20/64 and LE 20/50. Proliferative diabetic retinopathy.
-
PDR
Jan 29 2014 by Howard Schatz, MD
31-year-old male. 20/40. Proliferative diabetic retinopathy.
-
PDR
Jan 29 2014 by Howard Schatz, MD
24-year-old white female. PDR XI vitrectomy. 20/200 then 20/30. Proliferative diabetic retinopathy.
-
PDR
Jan 29 2014 by Howard Schatz, MD
20/40- and 20/200.
-
PDR
Jan 29 2014 by Howard Schatz, MD
64-year-old black female. 20/25 and 20/200. Proliferative diabetic retinopathy.
-
PDR
Jan 29 2014 by Howard Schatz, MD
Proliferative diabetic retinopathy.
-
PDR
Jan 29 2014 by Howard Schatz, MD
32-year-old white male. 20/30 OU.
-
PDR
Jan 29 2014 by Howard Schatz, MD
42-year-old white female. 20/50 and then 20/40. Proliferative diabetic retinopathy.
-
PDR
Jan 29 2014 by Howard Schatz, MD
28-year-old white female. Proliferative diabetic retinopathy.
-
PDR
Jan 29 2014 by Howard Schatz, MD
58-year-old black female. RE 20/50 and LE 20/64. Proliferative diabetic retinopathy.
-
PDR
Jan 29 2014 by Howard Schatz, MD
59-year-old black female. RE 20/50 and LE 20/64. Proliferative diabetic retinopathy.
-
PDR
Jan 29 2014 by Howard Schatz, MD
PRP and CRAO
-
PDR
Jan 29 2014 by Howard Schatz, MD
Proliferative diabetic retinopathy.
-
PDR
Jan 29 2014 by Howard Schatz, MD
57-year-old black female. 20/70 and 20/40. Proliferative diabetic retinopathy.
-
PDR
Jan 29 2014 by Howard Schatz, MD
44-year-old white male. 20/40 and 20/30. Proliferative diabetic retinopathy.
-
PDR
Feb 4 2014 by Howard Schatz, MD
44-year-old white male. 20/40 and 20/30. Proliferative diabetic retinopathy.
-
PDR
Feb 4 2014 by Howard Schatz, MD
72-year-old white male. 20/25- and HM10'. Proliferative diabetic retinopathy.
-
PDR
Feb 4 2014 by Howard Schatz, MD
62-year-old white male. 20/20 and 20/30. Proliferative diabetic retinopathy.
-
PDR
Feb 4 2014 by Howard Schatz, MD
63-year-old white male. 20/15 and 20/50. Proliferative diabetic retinopathy.
-
PDR
Feb 4 2014 by Howard Schatz, MD
64-year-old white male. 20/20 and 20/50. Proliferative diabetic retinopathy.
-
PDR
Feb 4 2014 by Howard Schatz, MD
26-year-old white female. NOP ICE. Proliferative diabetic retinopathy.
-
PDR
Feb 4 2014 by Howard Schatz, MD
26-year-old white female. NOP ICE. Proliferative diabetic retinopathy.
-
PDR
Feb 4 2014 by Howard Schatz, MD
28-year-old black female. 20/30 and 20/20. Proliferative diabetic retinopathy.
-
PDR
Feb 4 2014 by Howard Schatz, MD
20/20- and 20/15. Proliferative diabetic retinopathy.
-
PDR
Feb 4 2014 by Howard Schatz, MD
20/40- and 20/20-. Proliferative diabetic retinopathy.
-
PDR
Feb 4 2014 by Howard Schatz, MD
31-year-old black female. Proliferative diabetic retinopathy.
-
PDR
Feb 4 2014 by Howard Schatz, MD
31-year-old black female. Proliferative diabetic retinopathy.
-
PDR
Feb 4 2014 by Howard Schatz, MD
31-year-old black female. 20/200 and 20/30-. Proliferative diabetic retinopathy.
-
PDR
Feb 4 2014 by Howard Schatz, MD
64-year-old white male. RE 20/64 and LE 20/40. Proliferative diabetic retinopathy.
-
PDR
Feb 4 2014 by Howard Schatz, MD
65-year-old white male. RE 20/64 LE 20/50. Proliferative diabetic retinopathy.
-
PDR
Feb 4 2014 by Howard Schatz, MD
65-year-old white male. RE 20/50 LE 20/40. Proliferative diabetic retinopathy.
-
PDR
Feb 4 2014 by Howard Schatz, MD
Proliferative diabetic retinopathy.
-
PDR
Feb 4 2014 by Howard Schatz, MD
55-year-old white male. 20/70 pre and post op. Proliferative diabetic retinopathy.
-
PDR
Feb 4 2014 by Howard Schatz, MD
20/70 and 20/30. Proliferative diabetic retinopathy.
-
PDR
Feb 4 2014 by Howard Schatz, MD
20/30- and 20/40. Proliferative diabetic retinopathy.
-
PDR
Feb 4 2014 by Howard Schatz, MD
85-year-old white female. 20/40. Proliferative diabetic retinopathy.
-
PDR
Feb 4 2014 by Howard Schatz, MD
63-year-old white male. 20/70 and 20/200. Proliferative diabetic retinopathy.
-
PDR
Feb 4 2014 by Howard Schatz, MD
35-year-old white male. 20/40 and 20/30. Proliferative diabetic retinopathy.
-
PDR
Feb 4 2014 by Howard Schatz, MD
35-year-old white male. 20/40 and 20/50. Proliferative diabetic retinopathy.
-
PDR
Feb 5 2014 by Howard Schatz, MD
59-year-old white male. 20/50 and 20/100-, and then 20/50- and 20/70-. Proliferative diabetic retinopathy.
-
PDR
Feb 5 2014 by Howard Schatz, MD
35-year-old white male. RE 20/25 LE 20/64. proliferative diabetic retinopathy
-
PDR
Feb 5 2014 by Howard Schatz, MD
Proliferative diabetic retinopathy.
-
PDR
Feb 5 2014 by Howard Schatz, MD
25-year-old black female. 10/200. Proliferative diabetic retinopathy.
-
PDR
Feb 5 2014 by Howard Schatz, MD
Proliferative diabetic retinopathy.
-
PDR
Feb 5 2014 by Howard Schatz, MD
25-year-old white female. 20/32 OU. Proliferative diabetic retinopathy.
-
PDR
Feb 5 2014 by Howard Schatz, MD
28-year-old white male. 20/25 OU. Proliferative diabetic retinopathy.
-
PDR
Feb 5 2014 by Howard Schatz, MD
28-year-old white male. 20/25 OU. Proliferative diabetic retinopathy.
-
PDR/ BDR
Feb 5 2014 by Howard Schatz, MD
27-year-old white female. RE 20/250 LE 20/40. Proliferative diabetic retinopathy.
-
PDR
Feb 5 2014 by Howard Schatz, MD
20/50 and 20/30+. Proliferative diabetic retinopathy.
-
PDR
Feb 5 2014 by Howard Schatz, MD
Proliferative diabetic retinopathy.
-
PDR
Feb 5 2014 by Howard Schatz, MD
Proliferative diabetic retinopathy.
-
PDR
Feb 5 2014 by Howard Schatz, MD
35-year-old white male. 20/50 and 20/25. Proliferative diabetic retinopathy.
-
PDR
Feb 5 2014 by Howard Schatz, MD
20/40 and 20/30+. Proliferative diabetic retinopathy.
-
PDR
Feb 5 2014 by Howard Schatz, MD
35-year-old white male. 20/50 and 20/25. Proliferative diabetic retinopathy.
-
PDR
Feb 5 2014 by Howard Schatz, MD
10/200 and 9/200. Proliferative diabetic retinopathy.
-
PDR
Feb 5 2014 by Howard Schatz, MD
23-year-old white male. 20/200 and 1/200. Proliferative diabetic retinopathy.
-
PDR
Feb 5 2014 by Howard Schatz, MD
23-year-old white male. 10/200 and 8/200. Proliferative diabetic retinopathy.
-
PDR
Feb 5 2014 by Howard Schatz, MD
24-year-old white male. 6/200 and HM 1'. Proliferative diabetic retinopathy.
-
PDR
Feb 5 2014 by Howard Schatz, MD
24-year-old white male. 6/200 and HM 1'. Proliferative diabetic retinopathy.
-
PDR
Feb 5 2014 by Howard Schatz, MD
54-year-old white female. 20/70 OU. Proliferative diabetic retinopathy.
-
PDR
Feb 5 2014 by Howard Schatz, MD
58-year-old white male. 20/40- and 20/200-. Proliferative diabetic retinopathy.
-
PDR
Feb 5 2014 by Howard Schatz, MD
58-year-old white male. 20/20 and 20/70. Proliferative diabetic retinopathy.
-
PDR
Feb 5 2014 by Howard Schatz, MD
59-year-old white male. 20/50- OU. Proliferative diabetic retinopathy.
-
PDR
Feb 5 2014 by Howard Schatz, MD
27-year-old white female. 20/40 and 20/70. Proliferative diabetic retinopathy.
-
PDR
Feb 5 2014 by Howard Schatz, MD
White female. Proliferative diabetic retinopathy.
-
PDR
Feb 5 2014 by Howard Schatz, MD
White female. Proliferative diabetic retinopathy.
-
PDR
Feb 5 2014 by Howard Schatz, MD
29-year-old white female. 20/40- and 4/200. Proliferative diabetic retinopathy.
-
PDR
Feb 5 2014 by Howard Schatz, MD
29-year-old white female. Proliferative diabetic retinopathy.
-
PDR
Feb 5 2014 by Howard Schatz, MD
66-year-old white female. RE HM10' LE LP. Proliferative diabetic retinopathy.
Condition/keywords: central retinal artery occlusion (CRAO), central retinal vein occlusion (CRVO)
-
PDR
Feb 5 2014 by Howard Schatz, MD
17-year-old white female. 20/100 and 20/70. Proliferative diabetic retinopathy.
-
PDR
Feb 5 2014 by Howard Schatz, MD
17.5-year-old white female. 20/40- and 20/30-. Proliferative diabetic retinopathy.
-
PDR
Feb 5 2014 by Howard Schatz, MD
18-year-old white female. 20/30-3 and 20/50. Proliferative diabetic retinopathy.
-
PDR
Feb 5 2014 by Howard Schatz, MD
30-year-old white male. Proliferative diabetic retinopathy.
-
PDR
Feb 5 2014 by Howard Schatz, MD
Proliferative diabetic retinopathy.
-
PDR
Feb 5 2014 by Howard Schatz, MD
70-year-white male. 20/25 and 20/30. Proliferative diabetic retinopathy.
-
PDR
Feb 5 2014 by Howard Schatz, MD
55-year-old white woman. 20/20 and 20/20. Proliferative diabetic retinopathy.
-
PDR
Feb 5 2014 by Howard Schatz, MD
35-year-old white female. 20/40 OU. Proliferative diabetic retinopathy.
-
PDR
Feb 5 2014 by Howard Schatz, MD
35-year-old white female. 20/32 OU. Proliferative diabetic retinopathy.
-
PDR
Feb 5 2014 by Howard Schatz, MD
55-year-old white male. 20/40 OU. Proliferative diabetic retinopathy.
-
PDR
Feb 5 2014 by Howard Schatz, MD
55-year-old white male. 20/40 OU. Proliferative diabetic retinopathy.
-
PDR
Feb 5 2014 by Howard Schatz, MD
55-year-old white male. 20/40 OU. Proliferative diabetic retinopathy.
-
PDR
Feb 5 2014 by Howard Schatz, MD
55-year-old white male. 20/40 OU. Proliferative diabetic retinopathy.
-
PDR
Feb 5 2014 by Howard Schatz, MD
5/200. Proliferative diabetic retinopathy.
-
PDR
Feb 6 2014 by Howard Schatz, MD
35-year-old white male. RE 4/200 LE20/25. Proliferative diabetic retinopathy.
-
PDR
Feb 6 2014 by Howard Schatz, MD
35-year-old white male. RE 3/200 LE 20/32. Proliferative diabetic retinopathy.
-
PDR
Feb 6 2014 by Howard Schatz, MD
37-year-old white female. 20/30 and 20/20. Proliferative diabetic retinopathy.
-
PDR
Feb 6 2014 by Howard Schatz, MD
Proliferative diabetic retinopathy.
-
PDR
Feb 6 2014 by Howard Schatz, MD
Proliferative diabetic retinopathy.
-
PDR
Feb 6 2014 by Howard Schatz, MD
Proliferative diabetic retinopathy.
-
PDR
Feb 6 2014 by Howard Schatz, MD
Proliferative diabetic retinopathy.
-
PDR
Feb 6 2014 by Howard Schatz, MD
29-year-old white male. 20/40-1 and 20/200. Proliferative diabetic retinopathy.
-
PDR
Feb 6 2014 by Howard Schatz, MD
30-year-old white male. 20/40- and 20/200. Proliferative diabetic retinopathy.
-
PDR
Feb 6 2014 by Howard Schatz, MD
29-year-old white male. 20/40- and 20/200. Proliferative diabetic retinopathy.
-
PDR
Feb 6 2014 by Howard Schatz, MD
30-year-old white male. 20/40 and HM 1'. Proliferative diabetic retinopathy.
-
PDR
Feb 6 2014 by Howard Schatz, MD
30-year-old white male. 20/40 and HM 1'. Proliferative diabetic retinopathy.
-
PDR
Feb 6 2014 by Howard Schatz, MD
29-year-old white male. 20/40 and HM 1'. Proliferative diabetic retinopathy.
-
PDR
Feb 6 2014 by Howard Schatz, MD
30-year-old white male. 20/40 and CF 1'. Proliferative diabetic retinopathy.
-
PDR
Feb 6 2014 by Howard Schatz, MD
30-year-old white male. 20/40 and CF 3'. Proliferative diabetic retinopathy.
-
PDR
Feb 6 2014 by Howard Schatz, MD
30-year-old white male. 20/40 and CF 3'. Proliferative diabetic retinopathy.
-
PDR
Feb 6 2014 by Howard Schatz, MD
32-year-old white male. 20/25 and 4/200. Proliferative diabetic retinopathy.
-
PDR
Feb 6 2014 by Howard Schatz, MD
30-year-old white male. 20/40 and CF 3'. Proliferative diabetic retinopathy.
-
PDR
Feb 6 2014 by Howard Schatz, MD
31-year-old white male. 20/50. Proliferative diabetic retinopathy.
-
PDR
Feb 6 2014 by Howard Schatz, MD
31-year-old white male. RE 20/32 LE 20/40. Proliferative diabetic retinopathy.
-
PDR
Feb 6 2014 by Howard Schatz, MD
31-year-old white male. RE 20/32 LE 20/40. Proliferative diabetic retinopathy.
-
PDR
Feb 6 2014 by Howard Schatz, MD
19-year-old white male. 20/50 and 20/40. Proliferative diabetic retinopathy.
-
PDR
Feb 6 2014 by Howard Schatz, MD
Proliferative diabetic retinopathy.
-
PDR
Feb 6 2014 by Howard Schatz, MD
36-year-old white female. 20/70 OU. Proliferative diabetic retinopathy.
-
PDR
Feb 6 2014 by Howard Schatz, MD
37-year-old white female. 20/20 and 20/200. Proliferative diabetic retinopathy.
-
PDR
Feb 6 2014 by Howard Schatz, MD
Proliferative diabetic retinopathy.
-
Proliferative Diabetic Retinopathy
Feb 6 2014 by Howard Schatz, MD
39-year-old white female. 20/25- and 20/30. Proliferative diabetic retinopathy.
Condition/keywords: proliferative diabetic retinopathy (PDR)
-
PDR
Feb 6 2014 by Howard Schatz, MD
39-year-old white female. Proliferative diabetic retinopathy.
-
PDR
Feb 6 2014 by Howard Schatz, MD
32-year-old white female. Proliferative diabetic retinopathy.
-
PDR
Feb 6 2014 by Howard Schatz, MD
6/200 OU. Proliferative diabetic retinopathy.
-
PDR
Feb 6 2014 by Howard Schatz, MD
61-year-old white male. Proliferative diabetic retinopathy.
-
PDR
Feb 6 2014 by Howard Schatz, MD
56-year-old white male. NLP and 20/100. Proliferative diabetic retinopathy.
-
PDR
Feb 6 2014 by Howard Schatz, MD
56-year-old white male. 20/50. Proliferative diabetic retinopathy.
-
PDR
Feb 6 2014 by Howard Schatz, MD
58-year-old white male. VRP. 20/40-. Proliferative diabetic retinopathy.
-
PDR
Feb 6 2014 by Howard Schatz, MD
47-year-old white male. 20/70 and 20/200. Proliferative diabetic retinopathy.
-
PDR
Feb 6 2014 by Howard Schatz, MD
31-year-old white female. 20/50- and 20/50. Proliferative diabetic retinopathy.
-
PDR
Feb 6 2014 by Howard Schatz, MD
31-year-old white female. 20/40- and 20/40. Proliferative diabetic retinopathy.
-
PDR
Feb 6 2014 by Howard Schatz, MD
64-year-old white female. RE 20/40 OU. Proliferative diabetic retinopathy.
-
PDR
Feb 6 2014 by Howard Schatz, MD
50-year-old white male. RE 20/50 LE 20/40. Proliferative diabetic retinopathy.
-
PDR
Feb 6 2014 by Howard Schatz, MD
51-year-old white male. RE 20/40 LE 20/25. Proliferative diabetic retinopathy.
-
PDR
Feb 6 2014 by Howard Schatz, MD
23-year-old white female. RE 20/30 LE 20/25. Proliferative diabetic retinopathy.
-
PDR
Feb 7 2014 by Howard Schatz, MD
52-year-old white male. RE 20/50 LE 20/40. Proliferative diabetic retinopathy.
-
PDR
Feb 7 2014 by Howard Schatz, MD
52-year-old white male, RE 20/40 LE 20/50. Proliferative diabetic retinopathy.
-
PDR
Feb 7 2014 by Howard Schatz, MD
52-year-old white male. RE 20/40 LE 20/32. Proliferative diabetic retinopathy.
-
PDR
Feb 7 2014 by Howard Schatz, MD
52-year-old white male. RE 20/40 LE 20/32. Proliferative diabetic retinopathy.
-
PDR
Feb 7 2014 by Howard Schatz, MD
53-year-old Hispanic male. RE 20/32 LE 20/25. Proliferative diabetic retinopathy.
-
PDR
Feb 7 2014 by Howard Schatz, MD
48-year-old white female. RE 20/25 LE 20/32. Proliferative diabetic retinopathy.
-
PDR
Feb 7 2014 by Howard Schatz, MD
48-year-old white female. RE 20/25 LE 20/32. Proliferative diabetic retinopathy.
-
PDR
Feb 7 2014 by Howard Schatz, MD
37-year-old white male. Proliferative diabetic retinopathy.
-
PDR
Feb 7 2014 by Howard Schatz, MD
37-year-old white male. Proliferative diabetic retinopathy.
-
PDR
Feb 7 2014 by Howard Schatz, MD
37-year-old white male. Proliferative diabetic retinopathy.
-
PDR
Feb 7 2014 by Howard Schatz, MD
37-year-old white male. Proliferative diabetic retinopathy.
-
PDR
Feb 7 2014 by Howard Schatz, MD
Proliferative diabetic retinopathy.
-
PDR
Feb 7 2014 by Howard Schatz, MD
35-year-old white male. 20/200 and 20/30. Proliferative diabetic retinopathy.
-
PDR
Feb 7 2014 by Howard Schatz, MD
45-year-old white female. 20/20 OU. Proliferative diabetic retinopathy.
-
PDR
Feb 7 2014 by Howard Schatz, MD
45-year-old white female. 20/20 OU. Proliferative diabetic retinopathy.
-
PDR
Feb 7 2014 by Howard Schatz, MD
53-year-old white female. 20/25 OU. Proliferative diabetic retinopathy.
-
PDR
Feb 7 2014 by Howard Schatz, MD
53-year-old white female. 20/25 OU. Proliferative diabetic retinopathy.
-
PDR
Feb 7 2014 by Howard Schatz, MD
54-year-old white female. 20/25 OU. Proliferative diabetic retinopathy.
-
PDR
Feb 7 2014 by Howard Schatz, MD
43-year-old white male. RE 20/70 LE 20/50. Proliferative diabetic retinopathy.
-
PDR
Feb 7 2014 by Howard Schatz, MD
44-year-old white male. RE 20/30 LE 20/70. Proliferative diabetic retinopathy.
-
PDR
Feb 7 2014 by Howard Schatz, MD
44-year-old white male. RE 20/50 LE 20/50. Proliferative diabetic retinopathy.
-
PDR
Feb 7 2014 by Howard Schatz, MD
45-year-old white male. RE 20/100 LE 20/50. Proliferative diabetic retinopathy.
-
PDR
Feb 7 2014 by Howard Schatz, MD
46-year-old white male. RE 20/100 LE 20/40. Proliferative diabetic retinopathy.
-
PDR
Feb 7 2014 by Howard Schatz, MD
47-year-old white male. RE 20/100 LE 20/30. Proliferative diabetic retinopathy.
-
PDR
Feb 7 2014 by Howard Schatz, MD
47-year-old white male. 20/100 and 20/30. Proliferative diabetic retinopathy.
-
PDR
Feb 7 2014 by Howard Schatz, MD
Proliferative diabetic retinopathy.
-
PDR
Feb 7 2014 by Howard Schatz, MD
24-year-old male. Proliferative diabetic retinopathy.
-
PDR
Feb 7 2014 by Howard Schatz, MD
24-year-old male. Proliferative diabetic retinopathy.
-
PDR
Feb 7 2014 by Howard Schatz, MD
Proliferative diabetic retinopathy.
-
PDR
Feb 7 2014 by Howard Schatz, MD
Proliferative diabetic retinopathy.
-
PDR
Feb 7 2014 by Howard Schatz, MD
Proliferative diabetic retinopathy.
-
PDR
Feb 7 2014 by Howard Schatz, MD
20/40. Proliferative diabetic retinopathy.
-
PDR
Feb 7 2014 by Howard Schatz, MD
20/40. Proliferative diabetic retinopathy.
-
PDR
Feb 7 2014 by Howard Schatz, MD
20/30 and 20/40. Proliferative diabetic retinopathy.
-
PDR
Feb 7 2014 by Howard Schatz, MD
27-year-old white female. 20/30 and 20/30. Proliferative diabetic retinopathy.
-
PDR
Feb 7 2014 by Howard Schatz, MD
27-year-old white female. 20/30 and 20/30. Proliferative diabetic retinopathy.
-
PDR
Feb 7 2014 by Howard Schatz, MD
29-year-old white female. 20/30- and 20/30-. Proliferative diabetic retinopathy.
-
PDR
Feb 10 2014 by Howard Schatz, MD
20/30. Proliferative diabetic retinopathy.
-
PDR
Feb 10 2014 by Howard Schatz, MD
Proliferative diabetic retinopathy.
-
PDR
Feb 10 2014 by Howard Schatz, MD
Proliferative diabetic retinopathy.
-
PDR
Feb 10 2014 by Howard Schatz, MD
20/100. Proliferative diabetic retinopathy.
-
PDR
Feb 10 2014 by Howard Schatz, MD
20/20. Proliferative diabetic retinopathy.
-
PDR
Feb 10 2014 by Howard Schatz, MD
45-year-old white female. Proliferative diabetic retinopathy.
-
PDR
Feb 10 2014 by Howard Schatz, MD
45-year-old white female. Proliferative diabetic retinopathy.
-
PDR
Feb 10 2014 by Howard Schatz, MD
20/30. Proliferative diabetic retinopathy.
-
PDR
Feb 10 2014 by Howard Schatz, MD
47-year-old white female. Proliferative diabetic retinopathy.
-
PDR
Feb 10 2014 by Howard Schatz, MD
20/30. Proliferative diabetic retinopathy.
-
PDR
Feb 10 2014 by Howard Schatz, MD
45-year-old white female. Proliferative diabetic retinopathy.
-
PDR
Feb 10 2014 by Howard Schatz, MD
20/30 and 20/200. Proliferative diabetic retinopathy.
-
PDR
Feb 10 2014 by Howard Schatz, MD
48-year-old white female. RE 20/20 LE 20/30. Proliferative diabetic retinopathy.
-
PDR
Feb 10 2014 by Howard Schatz, MD
49-year-old white female. RE 20/15 LE 20/30. Proliferative diabetic retinopathy.
-
PDR
Feb 10 2014 by Howard Schatz, MD
50-year-old white female. RE 20/20 LE 20/30. Proliferative diabetic retinopathy.
-
PDR
Feb 10 2014 by Howard Schatz, MD
52-year-old white female. RE20/23 LE 20/30. Proliferative diabetic retinopathy.
-
PDR
Feb 10 2014 by Howard Schatz, MD
19-year-old white male. 20/30 and 20/40. Proliferative diabetic retinopathy.
-
PDR
Feb 10 2014 by Howard Schatz, MD
19-year-old white male. 20/40 and 20/30-. Proliferative diabetic retinopathy.
-
PDR
Feb 10 2014 by Howard Schatz, MD
20-year-old white male. 20/20- and 20/50. Proliferative diabetic retinopathy.
-
PDR
Feb 10 2014 by Howard Schatz, MD
49-year-old white male. 20/15 OU. Proliferative diabetic retinopathy.
-
PDR
Feb 10 2014 by Howard Schatz, MD
50-year-old white male. 20/15 OU. Proliferative diabetic retinopathy.
-
PDR
Feb 10 2014 by Howard Schatz, MD
53-year-old white male. RE 20/25 LE 20/20. Proliferative diabetic retinopathy.
-
PDR
Feb 10 2014 by Howard Schatz, MD
59-year-old white male. RE 20/64 LE 20/40. Proliferative diabetic retinopathy.
-
PDR
Feb 10 2014 by Howard Schatz, MD
59-year-old white male. RE 20/64 LE 20/40. Proliferative diabetic retinopathy.
-
PDR
Feb 10 2014 by Howard Schatz, MD
25-year-old white female. 20/40 and 2/200. Proliferative diabetic retinopathy.
-
PDR
Feb 10 2014 by Howard Schatz, MD
25-year-old white female. 20/20 and 20/200. Proliferative diabetic retinopathy.
-
PDR
Feb 10 2014 by Howard Schatz, MD
Proliferative diabetic retinopathy.
-
PDR
Feb 10 2014 by Howard Schatz, MD
DM hypertension sarcoid. 20/15 OU. Proliferative diabetic retinopathy.
-
PDR
Feb 10 2014 by Howard Schatz, MD
Proliferative diabetic retinopathy.
-
PDR
Feb 10 2014 by Howard Schatz, MD
DM hypertension sarcoid. 20/15 OU. Proliferative diabetic retinopathy.
-
PDR
Feb 10 2014 by Howard Schatz, MD
57-year-old black female. Proliferative diabetic retinopathy.
-
PDR
Feb 10 2014 by Howard Schatz, MD
58-year-old black female. 20/20-2 and 20/15-3. Proliferative diabetic retinopathy.
-
PDR
Feb 10 2014 by Howard Schatz, MD
60-year-old black female. 20/20- and 20/15. Proliferative diabetic retinopathy.
-
PDR
Feb 10 2014 by Howard Schatz, MD
67-year-old black female. CF16'. LE 8/200. Proliferative diabetic retinopathy.
-
PDR
Feb 10 2014 by Howard Schatz, MD
67-year-old black female. Re 20/200 LE 6/200. Proliferative diabetic retinopathy (laser error).
-
PDR
Feb 10 2014 by Howard Schatz, MD
70-year-old black female. RE 10/200 LE 20/200. Proliferative diabetic retinopathy.
-
PDR
Feb 10 2014 by Howard Schatz, MD
71-year-old black female. RE 10/200 LE 20/200. Proliferative diabetic retinopathy.
-
PDR
Feb 10 2014 by Howard Schatz, MD
21-year-old white male. RE 20/32 LE 20/50. Proliferative diabetic retinopathy.
-
PDR
Feb 10 2014 by Howard Schatz, MD
22-year-old white male. RE 20/25 LE 20/50. Proliferative diabetic retinopathy.
-
PDR
Feb 11 2014 by Howard Schatz, MD
22-year-old white male. RE 20/25 LE 20/50. Proliferative diabetic retinopathy.
-
PDR
Feb 11 2014 by Howard Schatz, MD
1+4 RE 20/70 LE 20/70 2+5 RE 5/200 LE 20/200 3+6 RE 10/200 LE 20/100 Proliferative diabetic retinopathy.
-
PDR
Feb 11 2014 by Howard Schatz, MD
Proliferative diabetic retinopathy.
-
PDR
Feb 11 2014 by Howard Schatz, MD
39-year-old white male. RE 20/32 LE 10/100. Proliferative diabetic retinopathy.
-
PDR
Feb 11 2014 by Howard Schatz, MD
39-year-old white male. RE 20/32 LE 10/200. Proliferative diabetic retinopathy.
-
PDR
Feb 11 2014 by Howard Schatz, MD
68-year-old white female. 7/200. Proliferative diabetic retinopathy.
-
PDR
Feb 11 2014 by Howard Schatz, MD
65-year-old white female. 20/10- and 10/200. Proliferative diabetic retinopathy.
-
PDR
Feb 11 2014 by Howard Schatz, MD
67-year-old white female. 2/25- and 20/200. Proliferative diabetic retinopathy.
-
PDR
Feb 11 2014 by Howard Schatz, MD
54-year-old black female. 20/40. Proliferative diabetic retinopathy.
-
PDR
Feb 11 2014 by Howard Schatz, MD
32-year-old white male. RE 20/25 LE 20/20. Proliferative diabetic retinopathy.
-
PDR
Feb 11 2014 by Howard Schatz, MD
34-year-old white male. RE 20/40 LE 20/50. Proliferative diabetic retinopathy.
-
PDR
Feb 11 2014 by Howard Schatz, MD
34-year-old white male. RE 20/25 LE 20/20. Proliferative diabetic retinopathy.
-
PDR
Feb 11 2014 by Howard Schatz, MD
37-year-old white male. RE 20/40 LE 20/32. Proliferative diabetic retinopathy.
-
PDR
Feb 11 2014 by Howard Schatz, MD
Proliferative diabetic retinopathy.
-
PDR
Feb 11 2014 by Howard Schatz, MD
51-year-old black female. Proliferative diabetic retinopathy.
-
PDR
Feb 11 2014 by Howard Schatz, MD
40-year-old white female. RE 20/120 LE 20/50. Proliferative diabetic retinopathy.
-
PDR
Feb 11 2014 by Howard Schatz, MD
40-year-old white female. RE 20/120 LE 20/50. Proliferative diabetic retinopathy.
-
PDR
Feb 11 2014 by Howard Schatz, MD
42-year-old white female. 20/40 OU. Proliferative diabetic retinopathy.
-
PDR
Feb 11 2014 by Howard Schatz, MD
41-year-old white female. RE 20/64 LE 20/50. Proliferative diabetic retinopathy.
-
PDR
Feb 11 2014 by Howard Schatz, MD
41-year-old white female. RE 20/64 LE 20/50. Proliferative diabetic retinopathy.
-
PDR
Feb 11 2014 by Howard Schatz, MD
42-year-old white female. 20/50 OU. Proliferative diabetic retinopathy.
-
PDR
Feb 11 2014 by Howard Schatz, MD
43-year-old white female. RE 20/40 LE 20/63. Proliferative diabetic retinopathy.
-
PDR
Feb 11 2014 by Howard Schatz, MD
Proliferative diabetic retinopathy.
-
PDR
Feb 11 2014 by Howard Schatz, MD
79-year-old white female. LE 20/70. Proliferative diabetic retinopathy.
-
PDR
Feb 11 2014 by Howard Schatz, MD
62-year-old white male. BDR (ASYM). RE 20/20 LE 20/160. Proliferative diabetic retinopathy.
-
PDR
Feb 11 2014 by Howard Schatz, MD
13-year-old white female. Uveitus OU. 20/50 OU. Proliferative diabetic retinopathy.
-
PDR
Feb 11 2014 by Howard Schatz, MD
28-year-old white female. 20/70- and 20/50-. Proliferative diabetic retinopathy.
-
PDR
Feb 11 2014 by Howard Schatz, MD
27-year-old white female. 20/70- and 20/70+. Proliferative diabetic retinopathy.
-
PDR
Feb 11 2014 by Howard Schatz, MD
28-year-old white female. 20/50 and 20/40-. Proliferative diabetic retinopathy.
-
PDR
Feb 11 2014 by Howard Schatz, MD
21-year-old white female. 20/23 OU. Proliferative diabetic retinopathy.
-
PDR
Feb 11 2014 by Howard Schatz, MD
21-year-old white female. RE 20/80 LE 20/25. Proliferative diabetic retinopathy.
-
PDR
Feb 11 2014 by Howard Schatz, MD
21-year-old white female. RE 20/80 LE 20/25. Proliferative diabetic retinopathy.
-
PDR
Feb 11 2014 by Howard Schatz, MD
21-year-old white female. RE 20/100 LE 20/40. Proliferative diabetic retinopathy.
-
PDR
Feb 11 2014 by Howard Schatz, MD
20-year-old white female. 20/200. Proliferative diabetic retinopathy.
-
PDR
Feb 11 2014 by Howard Schatz, MD
22-year-old white female. 20/70. Proliferative diabetic retinopathy.
-
PDR
Feb 11 2014 by Howard Schatz, MD
Proliferative diabetic retinopathy.
-
PDR
Feb 11 2014 by Howard Schatz, MD
46-year-old white male. 20/20. Proliferative diabetic retinopathy.
-
PDR
Feb 11 2014 by Howard Schatz, MD
Proliferative diabetic retinopathy.
-
PDR
Feb 11 2014 by Howard Schatz, MD
20/20. Proliferative diabetic retinopathy.
-
PDR
Feb 11 2014 by Howard Schatz, MD
Proliferative diabetic retinopathy.
-
PDR
Feb 11 2014 by Howard Schatz, MD
Proliferative diabetic retinopathy.
-
PDR
Feb 11 2014 by Howard Schatz, MD
OS. Proliferative diabetic retinopathy.
-
PDR
Feb 11 2014 by Howard Schatz, MD
OS. Proliferative diabetic retinopathy.
-
PDR
Feb 11 2014 by Howard Schatz, MD
OS. Proliferative diabetic retinopathy.
-
PDR
Feb 11 2014 by Howard Schatz, MD
OS. Proliferative diabetic retinopathy.
-
PDR
Feb 11 2014 by Howard Schatz, MD
46-year-old white male. Radiation. RE 20/40 LE 20/100. Proliferative diabetic retinopathy.
-
PDR
Feb 11 2014 by Howard Schatz, MD
27-year-old white female. PO PRP LE. Proliferative diabetic retinopathy.
-
PDR
Feb 11 2014 by Howard Schatz, MD
27-year-old white male. 20/40- and 10/200. Proliferative diabetic retinopathy.
-
PDR
Feb 11 2014 by Howard Schatz, MD
29-year-old white male. 20/70 and HM 10'. Proliferative diabetic retinopathy.
-
PDR
Feb 11 2014 by Howard Schatz, MD
17-year-old male. RE 20/60 RE 20/20. Proliferative diabetic retinopathy.
-
PDR
Feb 11 2014 by Howard Schatz, MD
18-year-old male. RE 4/200 LE 7/200. Proliferative diabetic retinopathy.
-
PDR
Feb 11 2014 by Howard Schatz, MD
22-year-old. 20/200 OU. Proliferative diabetic retinopathy.
-
PDR
Feb 11 2014 by Howard Schatz, MD
Proliferative diabetic retinopathy.
-
PDR
Feb 11 2014 by Howard Schatz, MD
Proliferative diabetic retinopathy.
-
PDR
Feb 11 2014 by Howard Schatz, MD
Proliferative diabetic retinopathy.
-
PDR
Feb 11 2014 by Howard Schatz, MD
Proliferative diabetic retinopathy.
-
PDR
Feb 11 2014 by Howard Schatz, MD
Proliferative diabetic retinopathy.
-
PDR
Feb 12 2014 by Howard Schatz, MD
Proliferative diabetic retinopathy.
-
PDR
Feb 12 2014 by Howard Schatz, MD
50-year-old white male. Proliferative diabetic retinopathy.
-
PDR
Feb 12 2014 by Howard Schatz, MD
Proliferative diabetic retinopathy.
-
PDR
Feb 12 2014 by Howard Schatz, MD
Proliferative diabetic retinopathy.
-
PDR
Feb 12 2014 by Howard Schatz, MD
Proliferative diabetic retinopathy.
-
PDR
Feb 12 2014 by Howard Schatz, MD
Proliferative diabetic retinopathy.
-
PDR
Feb 12 2014 by Howard Schatz, MD
Proliferative diabetic retinopathy.
-
PDR
Feb 12 2014 by Howard Schatz, MD
5-year-old white female. Self-resolved. NV 20 BVO. Proliferative diabetic retinopathy.
-
PDR
Feb 12 2014 by Howard Schatz, MD
Proliferative diabetic retinopathy.
-
PDR
Feb 12 2014 by Howard Schatz, MD
26-year-old male. 20/200. Proliferative diabetic retinopathy.
-
PDR
Feb 12 2014 by Howard Schatz, MD
Proliferative diabetic retinopathy.
-
PDR
Feb 12 2014 by Howard Schatz, MD
Proliferative diabetic retinopathy.
-
PDR
Feb 12 2014 by Howard Schatz, MD
Proliferative diabetic retinopathy.
-
PDR
Feb 12 2014 by Howard Schatz, MD
Proliferative diabetic retinopathy.
-
PDR
Feb 12 2014 by Howard Schatz, MD
Proliferative diabetic retinopathy.
-
PDR
Feb 12 2014 by Howard Schatz, MD
57-year-old white female. 2 wks post-laser. Proliferative diabetic retinopathy.
-
PDR
Feb 12 2014 by Howard Schatz, MD
Proliferative diabetic retinopathy.
-
PDR
Feb 12 2014 by Howard Schatz, MD
Proliferative diabetic retinopathy.
-
PDR
Feb 12 2014 by Howard Schatz, MD
Proliferative diabetic retinopathy.
-
PDR
Feb 12 2014 by Howard Schatz, MD
Proliferative diabetic retinopathy.
-
PDR
Feb 12 2014 by Howard Schatz, MD
Proliferative diabetic retinopathy.
-
PDR
Feb 12 2014 by Howard Schatz, MD
Proliferative diabetic retinopathy.
-
PDR
Feb 12 2014 by Howard Schatz, MD
Proliferative diabetic retinopathy.
-
PDR
Feb 12 2014 by Howard Schatz, MD
28-year-old male. DM 20 years. Myope, mild BDR. Proliferative diabetic retinopathy.
-
PDR
Feb 12 2014 by Howard Schatz, MD
Proliferative diabetic retinopathy.
-
PDR
Feb 12 2014 by Howard Schatz, MD
71-year-old white female. DM 26 years. 20/70 and 20/50. Proliferative diabetic retinopathy.
-
PDR
Feb 12 2014 by Howard Schatz, MD
Proliferative diabetic retinopathy.
-
PDR
Feb 12 2014 by Howard Schatz, MD
Proliferative diabetic retinopathy.
-
PDR
Feb 12 2014 by Howard Schatz, MD
Proliferative diabetic retinopathy.
-
PDR
Feb 12 2014 by Howard Schatz, MD
Proliferative diabetic retinopathy.
-
PDR
Feb 12 2014 by Howard Schatz, MD
38-year-old white female. Pregnancy. RE 20/ 32 LE 20/50. Proliferative diabetic retinopathy.
-
PDR
Feb 12 2014 by Howard Schatz, MD
NOP (UC). Pregnancy. Proliferative diabetic retinopathy.
-
Pregnancy
-
Radiation
Feb 13 2014 by Howard Schatz, MD
26-year-old female. Radiation + PDR. 20/25 OU. Proliferative diabetic retinopathy.
-
Radiation
Feb 13 2014 by Howard Schatz, MD
55-year-old white male. Radiation. RE 20/50 LE 2/200.
Condition/keywords: radiation retinopathy
