A project from the
American Society of Retina Specialists
Home
About
Guidelines & FAQs
Contact
Upload
Create account
Sign in
PDR
Download
File number: 13765
Comments
Sign in
to comment.
Initializing download.
Please wait...
By
Howard Schatz, MD
Uploaded on Feb 12, 2014.
Last modified by
Chayal Patel
on Feb 12, 2014.
Rating
Appears in
PDR
Description
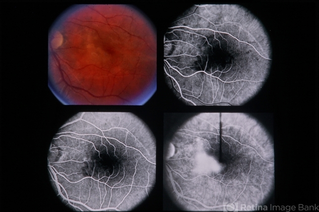
NOP (UC). Pregnancy. Proliferative diabetic retinopathy.
Related files