-
By Howard Schatz, MD
- Uploaded on Feb 7, 2014.
- Last modified by Chayal Patel on Feb 10, 2014.
- Rating
- Appears in
- PDR
- Description
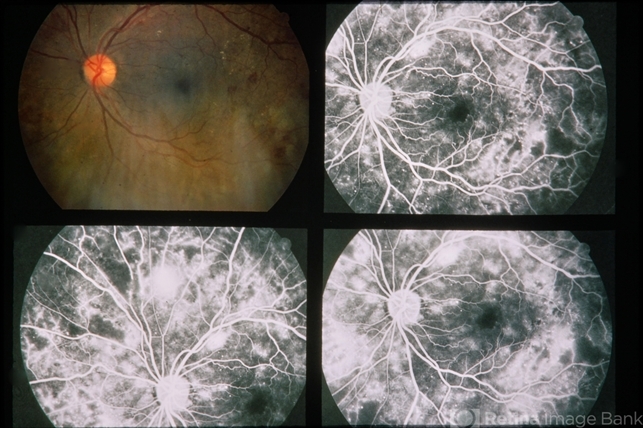
- 48-year-old white female. RE 20/25 LE 20/32. Proliferative diabetic retinopathy.

Initializing download.