-
By Michael P. Kelly, FOPS
Duke University Hospital - Uploaded on Oct 1, 2012.
- Last modified by Michael P. Kelly, FOPS on Oct 5, 2012.
- Rating
- Appears in
- Miscellaneous
- Condition/keywords
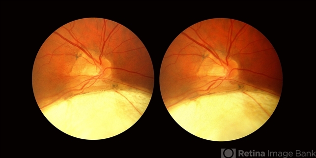
- coloboma, stereo pair, fundus photograph
- Photographer
- Michael P. Kelly, FOPS Director, Duke Eye Labs, Duke University Hospital, Duke Eye Center, Durham, NC
- Imaging device
- Fundus camera
- Description
- This is a stereo retinal fundus photograph of a coloboma, with the optic nerve centered, using a Zeiss FF3C retinal fundus camera.

Initializing download.