-
By Hamid Ahmadieh, MD
Labbafinejad Medical Center - Uploaded on Aug 28, 2013.
- Last modified by Hamid Ahmadieh, MD on Aug 31, 2013.
- Rating
- Appears in
- Miscellaneous
- Condition/keywords
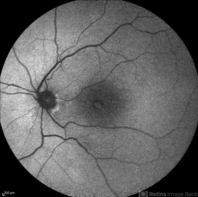
- radiation maculopathy, fundus autofluorescence (FAF)
- Photographer
- Solmaz Shahmohammad, Negah Eye Center, Tehran
- Imaging device
- Heidelberg Spectralis
- Description
- FAF image of the left eye of a 65-year-old man with radiation maculopathy.

Initializing download.