-
By Jeffrey G. Gross, MD, FASRS
- Uploaded on Oct 1, 2012.
- Last modified by Jeffrey G. Gross, MD, FASRS on Oct 2, 2012.
- Rating
- Appears in
- Subdural Hematoma
- Condition/keywords
- disc leakage, subdural hematoma
- Description
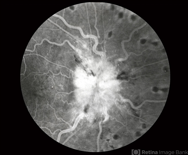
- FA late phase optic disc edema with disc leakage in patient with subdural hematoma.

Initializing download.