-
By Sukanya Mondal, MBBS, MS, FICO, MRCSEd
National Institute of Ophthalmology, Pune
Co-author(s): Dr Aditya Kelkar, National Institute of Ophthalmology, Pune. India. - Uploaded on Jun 21, 2022.
- Last modified by Joshua Friedman on Jun 22, 2022.
- Rating
- Appears in
- Miscellaneous
- Condition/keywords
- macular coloboma
- Photographer
- Dr Sukanya Mondal, National Institute of Ophthalmology, Pune. India
- Imaging device
-
Fundus camera
Zeiss Clarus 500 - Description
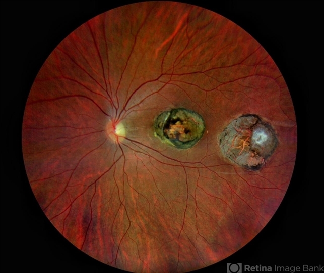
- Left eye fundus photograph of a 19-year-old girl, having low vision in the same eye since birth, showing well demarcated macular excavation and underlying scleral baring with hyper and hypopigmentated areas.

Initializing download.