-
By Jose Dalma-Weiszhausz, MD
Dalma & Asoc.
Co-author(s): Alejandro Dalma - Uploaded on Sep 26, 2012.
- Last modified by Jose Dalma-Weiszhausz, MD on Sep 27, 2012.
- Rating
- Appears in
- Miscellaneous
- Condition/keywords
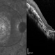
- macular coloboma
- Photographer
- José Dalma, MD, Dalma & Asoc. Mexico City, Mexico
- Imaging device
- Fundus camera
- Description
- 25-year-old male with poor vision since birth OU.

Initializing download.