-
By Deependra Vikram Singh, MD FASRS
Eye-Q Superspecialty Eye Hospitals
Co-author(s): Raja Rami Reddy, Neo Retina Eye Institute, Hyderabad, INDIA - Uploaded on Jun 1, 2022.
- Last modified by Joshua Friedman on Jun 7, 2022.
- Rating
- Appears in
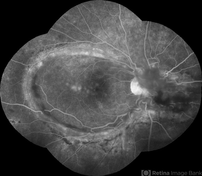
- Perimacular Fold in Tersons Syndrome
- Condition/keywords
- Terson's Syndrome, macular fold, submacular hemorrhage, sub internal limiting membrane haemorrhage
- Photographer
- Deependra Vikram Singh, Eye-Q Superspeciality Eye Hospitals, Gurugram, India
- Imaging device
-
Fundus camera
ZEISS - Description
- Fundus Fluorescein Angiography picture of a 36-year-old male with chronic liver disease who has undergone 25G vitrectomy for Vitreous and sub-ILM haemorrhage from Terson's syndrome.

Initializing download.