-
By Jorge Berganza
State of Hidalgo Autonomous University - Uploaded on Nov 28, 2021.
- Last modified by Jennifer Carstens on Dec 2, 2021.
- Rating
- Appears in
- Miscellaneous
- Condition/keywords
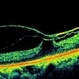
- macular traction, ERM
- Photographer
- Jorge Berganza MD
- Imaging device
-
Photo slit lamp biomicroscope
Iphone XR - Description
- 22 yo female with metamorphopsia in the left eye.

Initializing download.