-
By H. Michael Lambert, MD
- Uploaded on Aug 7, 2013.
- Last modified by H. Michael Lambert, MD on Apr 20, 2014.
- Rating
- Appears in
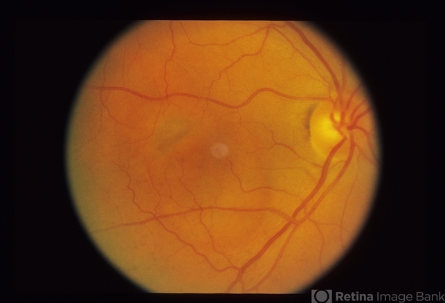
- AMD Perifoveal CNV to Laser to Scar
- Condition/keywords
- neovascular age-related macular degeneration (AMD)
- Description
- ARMD with CNV OD pre-laser 3/22/90

Initializing download.