-
By Michael E Grinton, MBChB, FRCOphth
South Tyneside and Sunderland NHS foundation trust
Co-author(s): Peng Yan, University of Toronto - Uploaded on Nov 8, 2021.
- Last modified by Jennifer Carstens on Nov 11, 2021.
- Rating
- Appears in
- Miscellaneous
- Condition/keywords
- Optic disc pit, Optic pit, Optic nerve pit
- Description
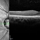
- Optic disc pits are rare congenital abnormalities of the optic nerve head. Colour fundus image of an asymptomatic 18-year old male shows an optic disc pit in the right eye (A, white arrow); a small, grey, oval shaped excavation in the temporal segment of the optic disc. These pits are usually unilateral (B shows normal colour fundus of left eye) and asymptomatic. Imaging with optical coherence tomography (C) shows the optic disc pit in cross section (white arrow) and normal macular structure. In some patients with the condition, fluid can accumulate underneath the macular (serous macular detachment).

Initializing download.