-
By Hamid Ahmadieh, MD
Labbafinejad Medical Center - Uploaded on Sep 22, 2012.
- Last modified by Hamid Ahmadieh, MD on Sep 22, 2012.
- Rating
- Appears in
- Miscellaneous
- Condition/keywords
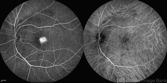
- idiopathic macular telangiectasia, indocyanine green (ICG) angiography, choroidal neovascularization (CNV)
- Photographer
- Hamid Ahmadieh, MD, Ophthalmic Research Center, Labbafinejad Medical Center, Shahid Beheshti University of Medical Sciences
- Imaging device
- HRA
- Description
- Late phase FA and ICG angiography imagings of the left eye of a 70-year-old man with idiopathic macular telangiectasia type 2 and CNV.

Initializing download.