-
By Hemanth Murthy, MBBS, MD, FASRS
RETINA INSTITUTE OF KARNATAKA
Co-author(s): Dr Manjula Shankar, Dr Priyanka Singh - Uploaded on Sep 5, 2021.
- Last modified by Jennifer Carstens on Sep 8, 2021.
- Rating
- Appears in
- Miscellaneous
- Condition/keywords
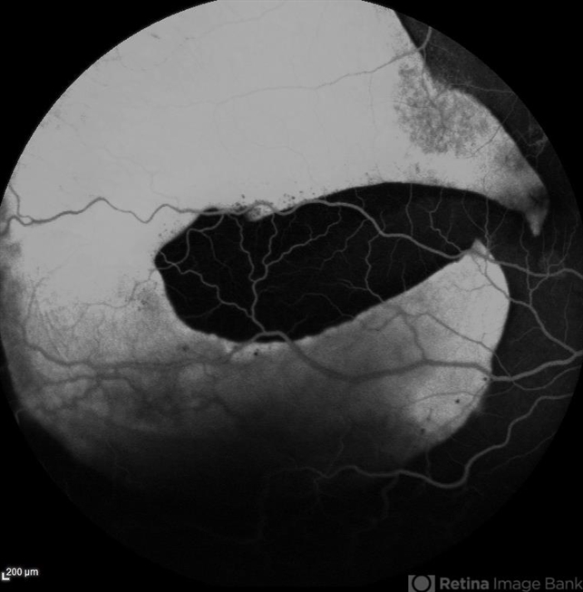
- RPE-Rip
- Photographer
- Mr Veda Vyas
- Imaging device
-
Scanning laser ophthalmoscope
Heidelberg HRA - Description
- Fundus fluorescein angiography of a 50 year-old patient with spontaneous giant RPE rip.

Initializing download.