-
By Vishal Gupta, MBBS, MS
Prakash Netra Kendra - Uploaded on Jul 25, 2021.
- Last modified by Caroline Bozell on Jul 27, 2021.
- Rating
- Appears in
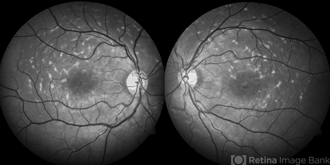
- Stargardt Disease
- Condition/keywords
- Stargardt disease
- Photographer
- Dr Vishal Gupta, INHS Asvini, Mumbai, INDIA
- Imaging device
- Fundus camera
- Description
- The remarkable symmetry of both eyes showing Stargardt Disease.

Initializing download.