- 
            
             By Nivesh Gupta By Nivesh Gupta
 Retina foundation
 Co-author(s): Dr. Navneet Mehrotra, Consultant, Retina Foundation, Ahemadabad, India , Dr. Manish Nagpal, Senior Consultant, Retina foundation, Ahemadabad.
- Uploaded on Jul 2, 2021.
- Last modified by Caroline Bozell on Jul 2, 2021.
- Rating
- Appears in
- 2-Jul-2021
- Condition/keywords
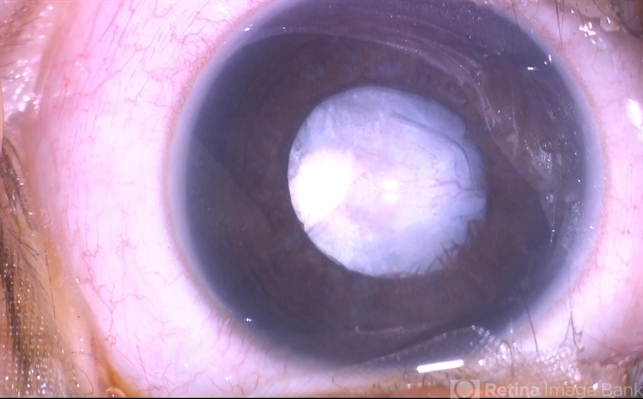
- hyaloid artery, persistence of the hyaloid artery, tunica vasculosa lentis
- Photographer
- Dr. Nivesh Gupta, Retina foundation
- Imaging device
- NIDEK SLO MIRANTE
- Description
- Photograph of a 1 month old male with tunica vasculosa lentis.

 
        
 Initializing download.
                Initializing download. 
             
             
             
             
             
             
             
             
             
             
            