- 
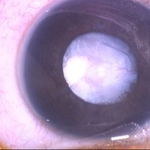
     Tunica Vasculosa Lentis Tunica Vasculosa LentisJul 2 2021 by Nivesh Gupta Photograph of a 1 month old male with tunica vasculosa lentis. Photographer: Dr. Nivesh Gupta, Retina foundation Imaging device: NIDEK SLO MIRANTE Condition/keywords: hyaloid artery, persistence of the hyaloid artery, tunica vasculosa lentis 
