-
By Jason S. Calhoun
Mayo Clinic Jacksonville, Florida - Uploaded on Jul 13, 2013.
- Last modified by Caroline Bozell on Jul 15, 2013.
- Rating
- Appears in
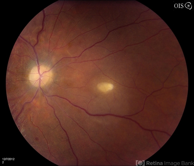
- Leukemic Retinopathy
- Condition/keywords
- leukemia
- Photographer
- Jason S. Calhoun, Department of Ophthalmology, Mayo Clinic Jacksonville, Florida
- Imaging device
- Fundus camera
- Description
- Young male patient with active leukemia has some hemorrhages in the retina with white cotton wool spot in the nasal aspect in the right eye.

Initializing download.