-
By Anmol Naik
Sankara Nethralaya
Co-author(s): Abhijit Agre, Anjali Sapar, Insight Institute of Ophthalmology, Pune, India. - Uploaded on May 21, 2021.
- Last modified by Anmol Naik on May 3, 2022.
- Rating
- Appears in
- Vitreoretina
- Condition/keywords
- sub-inner limiting membrane hemorrhage, laser photocoagulation, focal laser
- Photographer
- Anmol Naik, MS, Insight Institute of Ophthalmology, Pune, India.
- Imaging device
-
Optical coherence tomography system
Topcon 3D Maestro 1, integrated Fundus camera and OCT - Description
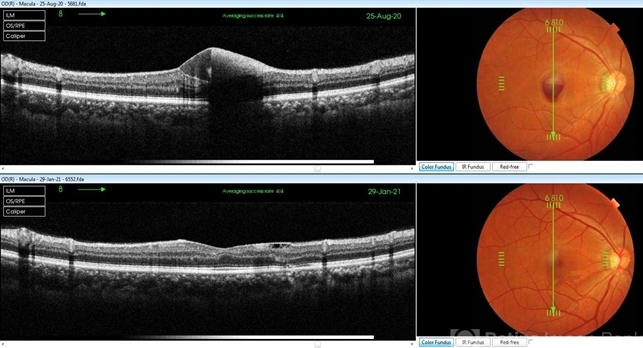
- A 36-year-old male complained of central scotoma in the right eye after observing intense laser lights at a local festival celebration. His BCVA was 6/60. On examination, he had a sub-internal limiting membrane (ILM) hemorrhage, which was treated with focal frequency-doubled Nd:YAG laser. Two weeks later, the hemorrhage resolved completely with BCVA of 6/6.

Initializing download.