-
By Anmol Naik
Sankara Nethralaya
Co-author(s): Shveta Gadewar, Nakshatra Superspeciality Eye Hospital, Pune, India. - Uploaded on May 20, 2021.
- Last modified by Anmol Naik on May 3, 2022.
- Rating
- Appears in
- Vitreoretina
- Condition/keywords
- myelinated nerve fibers, high myopia, amblyopia
- Photographer
- Anmol Naik, Nakshatra Superspeciality Eye Hospital, Pune, India.
- Imaging device
-
Fundus camera
Zeine slit-lamp mounted Fundus imaging system - Description
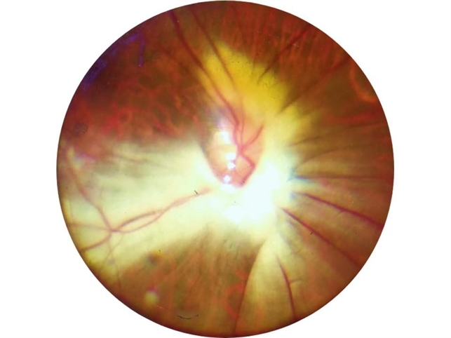
- A 21-year-old Indian male presented with incidentally discovered subnormal vision in the left eye. On examination, he had esotropia with high myopia of -14 dioptres. Fundus examination revealed extensively myelinated nerve fibres around the optic disc extending along the arcade but sparing the fovea. The association of myelinated nerve fibres with high myopia and amblyopia is well documented but the causal association between these is unproven. Early detection of refractive error and aggressive therapy to prevent amblyopia has been reported with some success.

Initializing download.