-
By Raj K. Maturi, MD
Midwest Eye Institute & Retina Partners Midwest - Uploaded on Jul 11, 2013.
- Last modified by Caroline Bozell on Jul 11, 2013.
- Rating
- Appears in
- Miscellaneous
- Condition/keywords
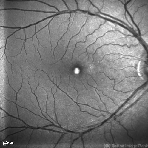
- red-free, rubella retinopathy, Spectralis
- Photographer
- Tom Steele, CRA
- Imaging device
-
Optical coherence tomography system
spectralis - Description
- 48-year-old, deaf female, complains of blurry vision, mother had Rubella when she was pregnant.

Initializing download.