-
By Hamid Ahmadieh, MD
Labbafinejad Medical Center - Uploaded on Jul 10, 2013.
- Last modified by Caroline Bozell on Jul 11, 2013.
- Rating
- Appears in
- Miscellaneous
- Condition/keywords
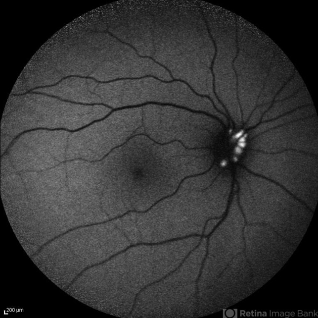
- optic disc drusen, fundus autofluorescence (FAF)
- Photographer
- Solmaz Shahmohammadi, Negah Eye Center, Tehran
- Imaging device
- Heidelberg Spectralis
- Description
- Fundus autofluorescence image of the right eye of a 24-year-old woman with optic disc drusen and VA 20/20.

Initializing download.