-
By Jason S. Calhoun
Mayo Clinic Jacksonville, Florida - Uploaded on Jun 28, 2013.
- Last modified by Jason S. Calhoun on Jun 30, 2013.
- Rating
- Appears in
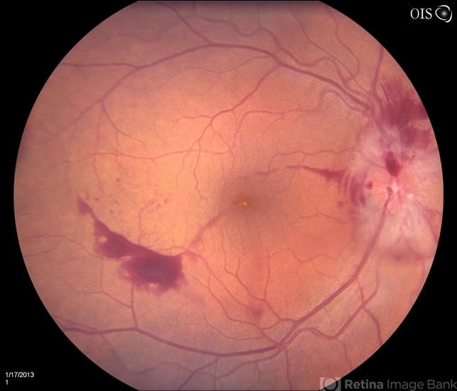
- Diabetic Papillitis
- Condition/keywords
- diabetic mellitus
- Photographer
- Jason S. Calhoun, Mayo Clinic Jacksonville, Florida
- Imaging device
-
Fundus camera
TOPCON TRC 50-EX - Description
- Patient was about to undergo surgery for CNS aneurysm. Patient woke up with little spots which never cleared up. Patients VA was 20/30-OD and 20/40-OS. Both eyes appeared to have disc edema with hemorrhages in the right eye. Ordered a CT of the brain to make sure the aneurysm didn't ruptured.

Initializing download.