-
By Henry J. Kaplan, MD
University of Louisville
Co-author(s): Niloofar Piri, MD, University of Louisville - Uploaded on Jun 5, 2013.
- Last modified by Caroline Bozell on Jun 5, 2013.
- Rating
- Appears in
- Uveitis
- Condition/keywords
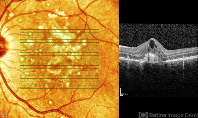
- punctate inner choroidopathy (PIC), choroidal neovascularization (CNV)
- Photographer
- Angela Andersson
- Imaging device
- HRA II
- Description
- OCT of the same patient demonstrates CNV complex with intraretinal cystoid edema #3.

Initializing download.