-
By Thomas A. Ciulla, MD, MBA, FASRS
Indiana University School of Medicine - Uploaded on Nov 4, 2020.
- Last modified by Thomas A. Ciulla, MD, MBA, FASRS on Nov 5, 2020.
- Rating
- Appears in
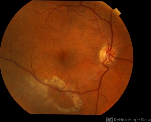
- Retinoschisis with Outer Layer Break
- Condition/keywords
- inferotemporal retinoschisis, bullous retinoschisis, outer layer breaks
- Imaging device
- Fundus camera
- Description
- Inferior temporal retinoschisis extending posteriorly to arcade, associated with outer layer break and related pigment changes from chronicity.

Initializing download.