-
By Mihir Trivedi
RNC Eye Hospital
Co-author(s): Dr Abhishek Desai, Dr Rushikesh Naigaonkar - Uploaded on Oct 30, 2020.
- Last modified by Caroline Bozell on Nov 3, 2020.
- Rating
- Appears in
- Miscellaneous
- Condition/keywords
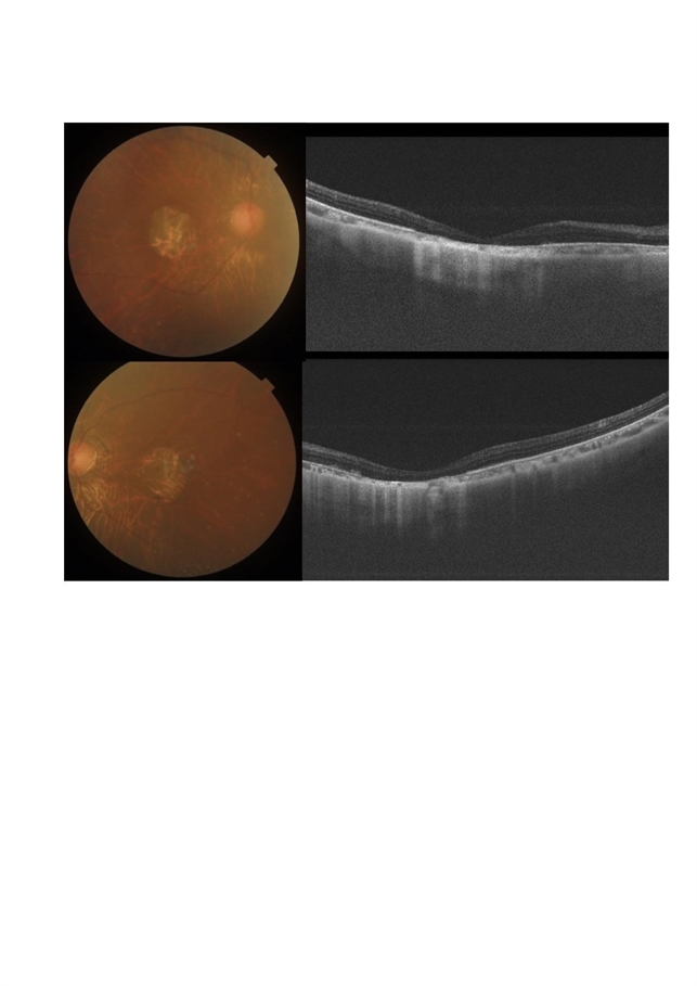
- central areolar choroidal dystrophy (CACD)
- Photographer
- Mr Ganesh Naidu
- Imaging device
-
Fundus camera
TOPCON DRI Triton - Description
- Fundus photo of a 43-year-old female with gradual onset diminution of vision in both eyes since 2-3 years. BCVA in OU was 3/60. She was diagnosed to have central areolar choroidal dystrophy(CACD). Central areolar choroidal dystrophy (CACD) is a rare inherited disease, which causes progressive profound loss of vision in patients during their fourth decade. It is characterized by atrophy of retinal pigment epithelium, photoreceptors and choriocapillaris. IT is a progressive macular dystrophy characterized by subtle, mottled depigmentation in the posterior pole in the early stages. The depigmentation area gradually enlarges until an oval or round surface of atrophy of the retinal pigmentary epithelium and choriocapillaris is formed. Drusen or flecks are absent in a typical presentation.

Initializing download.