
File number: 63233
Comments
-
Sham Talati, DOMS (September 14 2020)
Thank You sir..
-
Deepak Bhojwani, MS (September 12 2020)
Great Pic!!
Sign in to comment.
-
By Sham Talati, DOMS
Dr. Talati's eye hospital
Co-author(s): Dr. Manish Nagpal, Dr. Navneet Mehrotra-Retina foundation,Ahmedabad - Uploaded on Sep 11, 2020.
- Last modified by Caroline Bozell on Jan 29, 2021.
- Image of the week
-
Jan 31, 2021
View all images of the week - Rating
- Appears in
- Miscellaneous
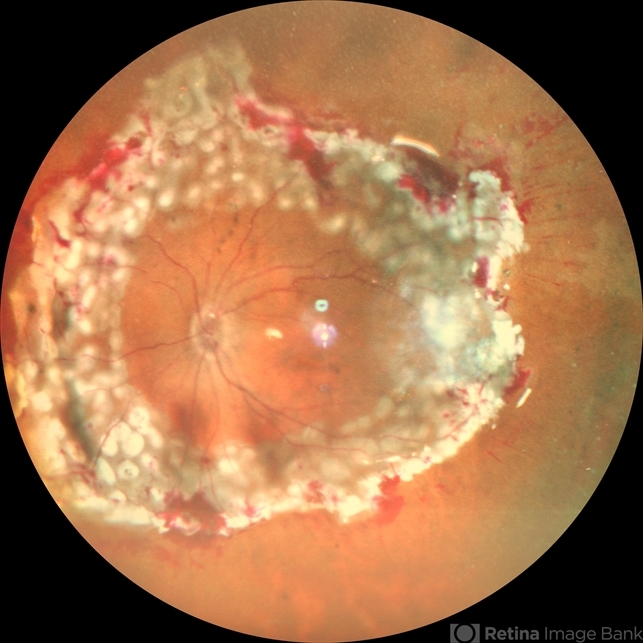
- Condition/keywords
- retinectomy, proliferative vitreoretinopathy (PVR)
- Photographer
- Dr. Sham Talati,Retina Foundation,Ahmedabad
- Imaging device
-
Scanning laser ophthalmoscope
Nidek Mirante - Description
- A case of retinal detachment with PVR. Patient underwent pars plana vitrectomy with silicon oil injection with 360 degree retinectomy.