- 
            
             By Suber S. Huang, MD, MBA, FASRS By Suber S. Huang, MD, MBA, FASRS
 Retina Center of Ohio
 Co-author(s): Reena S. Vaswani, MD University Hospitals Eye Institute, Case Western Reserve University Department of Ophthalmology
- Uploaded on May 3, 2013.
- Last modified by Caroline Bozell on May 10, 2013.
- Rating
- Appears in
- Miscellaneous
- Condition/keywords
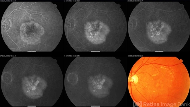
- choroidal neovascularization occult, choroidal neovascularization (CNV)
- Imaging device
- Retina Diseases Imaging Analysis Reading Center
- Description
- Age related macular degeneration - occult CNV

 
        
 Initializing download.
                Initializing download. 
             
             
             
             
             
             
             
             
             
            