-
By Armando L. Oliver, MD
University of Puerto Rico - Uploaded on May 1, 2013.
- Last modified by Caroline Bozell on May 2, 2013.
- Rating
- Appears in
- Birdshot 1
- Condition/keywords
- birdshot, birdshot retinochoroidopathy, birdshot chorioretinopathy
- Photographer
- Moises Castro, Instituto de Ojos y Piel, Carolina, PR
- Imaging device
-
Fundus camera
Zeiss Visucam NM/FA - Description
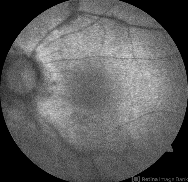
- 64-year-old Puerto Rican woman consulted due to the presence of 1+ vitreous cells. The fundus examination revealed orange to yellow lesions dispersing from the disk. Work-up revealed she was HLA-A29 positive and the suspected diagnosis of Birdshot Chorioretinopathy was made. Chest X-Ray, FTA-Abs and RPR were negative.

Initializing download.