-
By Theodore Leng, MD, MS, FASRS
Byers Eye Institute at Stanford University School of Medicine - Uploaded on Apr 30, 2013.
- Last modified by Caroline Bozell on Apr 30, 2013.
- Rating
- Appears in
- Plaquenil Toxicity
- Condition/keywords
- plaquenil toxicity, hydroxychloroquine toxicity
- Description
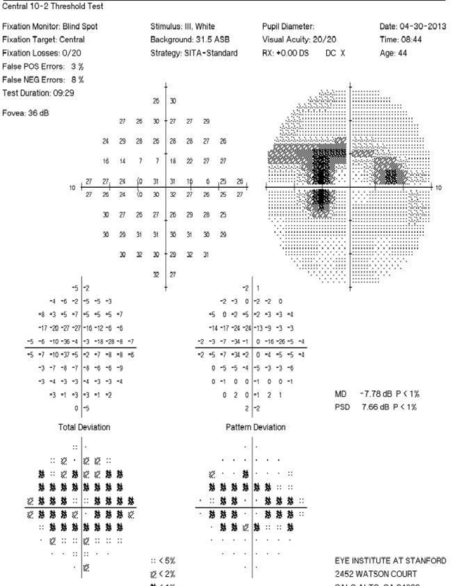
- Left Eye 10-2 HVF from a 44-year-old woman with bilateral plaquenil toxicity. A ring scotoma is present.

Initializing download.