-
By Sergio Groman-Lupa, MD, PhD
CODET Vision Institute
Co-author(s): Rios Alvarado MD, Niebla Bojorquez MD, Codet Vision Institute - Uploaded on Jul 17, 2020.
- Last modified by Caroline Bozell on Jul 21, 2020.
- Rating
- Appears in
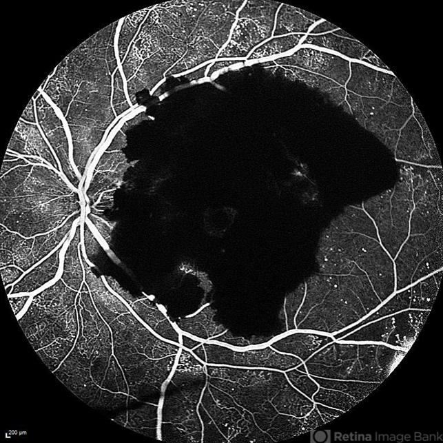
- Subhyaloid hemorrhage without foveal involvement in diabetic patient
- Condition/keywords
- subhyaloid hemorrhage, fluorescein angiogram (FA)
- Photographer
- Garcia Lelevier OD, Codet Vision Institute
- Imaging device
-
Fundus camera
Heidelberg Spectralis - Description
- Subhyaloid hemorrhage without foveal involvement fluorescein angiography.

Initializing download.