-
By Raj K. Maturi, MD
Midwest Eye Institute & Retina Partners Midwest - Uploaded on Apr 11, 2013.
- Last modified by Caroline Bozell on Apr 12, 2013.
- Rating
- Appears in
- Miscellaneous
- Condition/keywords
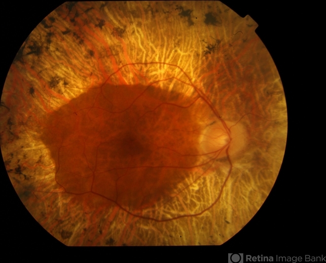
- retinitis pigmentosa, macula
- Photographer
- Tom Steele, CRA Midwesteye Institute, Indianapolis Indiana
- Imaging device
- Fundus camera
- Description
- 78-year-old male with advanced retinitis pigmentosa.

Initializing download.