-
By Henry J. Kaplan, MD
University of Louisville
Co-author(s): Niloofar Piri, MD. University of Louisville - Uploaded on Mar 29, 2013.
- Last modified by Caroline Bozell on Apr 4, 2013.
- Rating
- Appears in
- Miscellaneous
- Condition/keywords
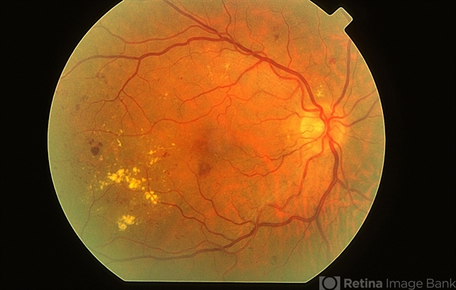
- diabetic mellitus, nonproliferative diabetic retinopathy
- Imaging device
- Fundus camera
- Description
- Moderated NPDR.

Initializing download.