-
By Henry J. Kaplan, MD
University of Louisville
Co-author(s): Niloofar Piri, MD, University of Louisville - Uploaded on Mar 29, 2013.
- Last modified by Caroline Bozell on Apr 5, 2013.
- Rating
- Appears in
- Miscellaneous
- Condition/keywords
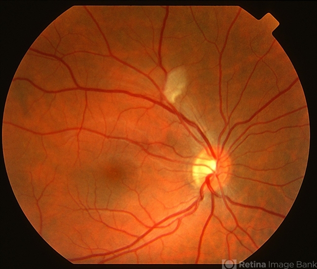
- hypertensive retinopathy, hypertension
- Imaging device
- Fundus camera
- Description
- Cotton wool spot in grade III hypertensive retinopathy.

Initializing download.