-
By Hamid Ahmadieh, MD
Labbafinejad Medical Center
Co-author(s): Ramin Nourinia, MD, Ophthalmic Research Center, Labbafinejad Medical Center, Shahid Beheshti University of Medical Sciences , Tehran - Uploaded on Mar 13, 2013.
- Last modified by Hamid Ahmadieh, MD on Apr 14, 2013.
- Reviewed by Caroline Bozell
- Rating
- Appears in
- Miscellaneous
- Condition/keywords
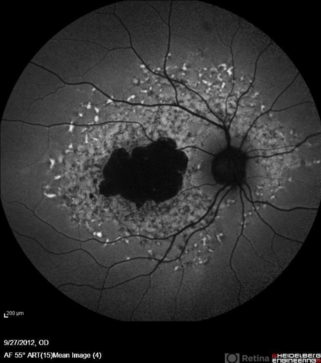
- Stargardt disease, autofluorescence imaging
- Photographer
- Nayereh Hadipoor, Negah Eye Center, Tehran
- Imaging device
- Heidelberg Spectralis
- Description
- Autofluorescence imaging of the right eye of a 46-year-old man with decreased VA due to advanced Stargardt's disease.

Initializing download.