-
By Gabriela Lopezcarasa Hernandez, MD
APEC/Hospital Angeles Lomas - Uploaded on Mar 9, 2013.
- Last modified by Caroline Bozell on Mar 11, 2013.
- Reviewed by Caroline Bozell
- Rating
- Appears in
- Miscellaneous
- Condition/keywords
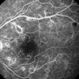
- occlusive vasculitis
- Photographer
- Azucena Rios Macula Retina Consultores Mexico
- Imaging device
-
Fundus camera
heidelberg Spectralis - Description
- A 36-year-old women with panuveitis and bilateral occlusive vasculitis.

Initializing download.