-
By Henry J. Kaplan, MD
University of Louisville
Co-author(s): Niloofar Piri , MD. University Of Louisville - Uploaded on Feb 27, 2013.
- Last modified by Caroline Bozell on Mar 4, 2013.
- Reviewed by Caroline Bozell
- Rating
- Appears in
- Uveitis
- Condition/keywords
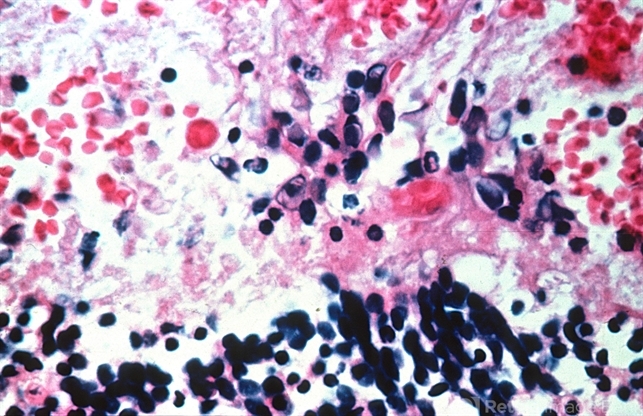
- acute retinal necrosis, varicella zoster virus (VZV), inclusion bodies
- Description
- ARN, zoster intranuclear inclusion bodies.

Initializing download.