-
By Gregg T. Kokame, MD, MMM, FASRS
University of Hawaii School of Medicine
Co-author(s): Sarah P Read MD, PhD, Retina Consultants of Hawaii - Uploaded on Jan 22, 2020.
- Last modified by Caroline Bozell on Jan 23, 2020.
- Rating
- Appears in
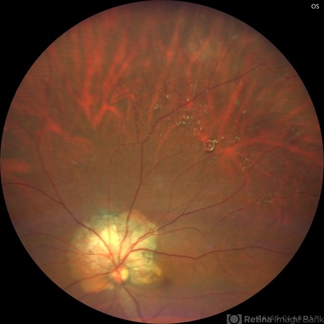
- Osteoma with Silicone Oil droplet
- Condition/keywords
- silicone oil, choroidal osteoma
- Photographer
- Jaclyn Pisano, Retina Consultants of Hawaii
- Imaging device
-
Fundus camera
Clarus 700 - Description
- 45-year-old female, with choroidal osteoma. Silicone oil droplet in the periphery, after intravitreal injection.

Initializing download.