-
Choroidal Osteoma
Jan 22 2020 by Gregg T. Kokame, MD, MMM, FASRS
45-year-old female, with choroidal osteoma. silicone oil droplet in the periphery, after intravitreal injection.
Photographer: Jaclyn Pisano
Imaging device: Clarus 700
Condition/keywords: choroidal osteoma, intravitreal injection, silicone oil
-
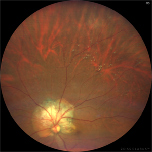
Choroidal Osteoma
Jan 22 2020 by Gregg T. Kokame, MD, MMM, FASRS
45-year-old female, with choroidal osteoma. Silicone oil droplet in the periphery, after intravitreal injection.
Photographer: Jaclyn Pisano, Retina Consultants of Hawaii
Imaging device: Clarus 700
Condition/keywords: choroidal osteoma, silicone oil
