-
By Deepak Bhojwani, MS
- Uploaded on Jan 15, 2020.
- Last modified by Caroline Bozell on Jan 16, 2020.
- Rating
- Appears in
- Miscellaneous
- Condition/keywords
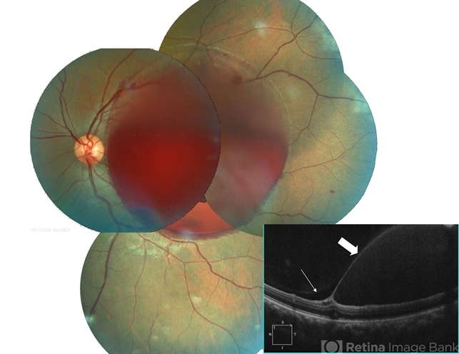
- ruptured macroaneurysm, hypertension, macula lesion
- Photographer
- Deepak Bhojwani, Raghudeep Eye Hospital, Ahmedabad
- Imaging device
-
Fundus camera
ZEISS VISUCAM 500 - Description
- Montage image of a young hypertensive gentlemen with huge macular hemorrhage. OCT is pointing the plane of heme to be sub-ILM. High reflective taut membrane (block arrow) The line arrow shows the posterior hyaloid (low reflective band).

Initializing download.