-
By From the Collections of Thomas M. Aaberg, MD and Thomas M. Aaberg Jr., MD
- Uploaded on Feb 20, 2013.
- Last modified by Chayal Patel on Apr 17, 2013.
- Rating
- Appears in
- Miscellaneous
- Condition/keywords
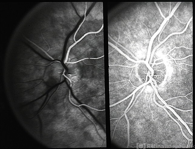
- anterior ischemic optic neuropathy
- Description
- Fluorescein for anterior ischemic optic neruopathy.

Initializing download.