
File number: 45629
Comments
-
Deepak Bhojwani, MS (January 16 2020)
The Autofluoroscence Image is ABSOLUTE CLASSIC!!!
Sign in to comment.
-
By Sarah Oelrich
Southeastern Retina Associates
Co-author(s): Southeastern Retina Assoctiates - Uploaded on Jan 6, 2020.
- Last modified by Caroline Bozell on Jan 7, 2020.
- Rating
- Appears in
- Miscellaneous
- Condition/keywords
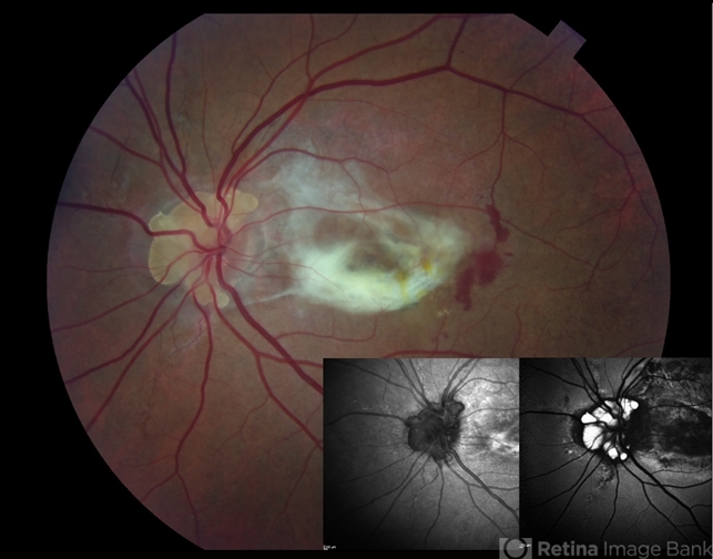
- angioid streaks, disc drusen, choroidal neovascular membrane (CNVM)
- Photographer
- Sarah Oelrich CRA COT OCT-C
- Imaging device
-
Fundus camera
Topcon, Heidelberg - Description
- Angioid streaks with associated disc drusen and CNV.