-
Eales Disease
Jul 11 2018 by Sarah Oelrich
Eales Disease
Photographer: Sarah Oelrich CRA, Southeastern Retina Associates, Knoxville TN
Imaging device: Optos 200tx
Condition/keywords: Eales disease
-
Retinal Ischemia
Jul 11 2018 by Sarah Oelrich
Retinal Ischemia, PDR
Photographer: Sarah Oelrich CRA, Southeastern Retina Associates, Knoxville TN
Imaging device: Optos 200tx
Condition/keywords: ischemia
-
Proliferative Diabetic Retinopathy
Jul 11 2018 by Sarah Oelrich
Proliferative diabetic retinopathy.
Photographer: Sarah Oelrich CRA, Southeastern Retina Associates, Knoxville TN
Imaging device: Optos 200tx
Condition/keywords: proliferative diabetic retinopathy (PDR)
-
Plaquenil Toxicity
Jul 11 2018 by Sarah Oelrich
Plaquenil Toxicity
Photographer: Sarah Oelrich CRA, Southeastern Retina Associates, Knoxville TN
Condition/keywords: plaquenil toxicity
-
Retinoschisis
Jul 11 2018 by Sarah Oelrich
Retinoschisis
Photographer: Sarah Oelrich CRA, Southeastern Retina Associates, Knoxville TN
Imaging device: Optos 200tx
Condition/keywords: retinoschisis
-
Hemi Retinal Vein Occlusion
Jul 11 2018 by Sarah Oelrich
Hemi retinal vein occlusion
Photographer: Sarah Oelrich CRA, Southeastern Retina Associates, Knoxville TN
Imaging device: Optos 200tx
Condition/keywords: hemicentral retinal vein occlusion
-
Choroidal Mass
Sep 21 2018 by Sarah Oelrich
Choroidal mass
Photographer: Sarah Oelrich CRA COT, Southeastern Retina Associates Knoxville Tn
Imaging device: OPTOS 200tx
Condition/keywords: choroidal mass
-
CNV FA and OCT Angiogram Images
Sep 21 2018 by Sarah Oelrich
CNV FA and OCT angiogram images
Photographer: Sarah Oelrich CRA COT, Southeastern Retina Associates Knoxville Tn
Imaging device: OCT- A
Condition/keywords: choroidal neovascularization (CNV)
-
Angioid Streaks With Associated Disc Drusen and CNV
Sep 21 2018 by Sarah Oelrich
Angioid streaks with associated disc drusen and CNV.
Photographer: Sarah Oelrich CRA COT, Southeastern Retina Associates Knoxville Tn
Condition/keywords: angioid streaks, autofluorescence imaging, choroidal neovascularization (CNV), disc drusen, infrared image
-
CNV FA and OCT Angiogram Images
Jan 6 2020 by Sarah Oelrich
CNV FA and OCT angiogram images
Photographer: Sarah Oelrich CRA COT OCT-C
Imaging device: OCT-A Optovue
Condition/keywords: choroidal neovascularization (CNV), optical coherence tomography (OCT)
-
Choroidal Detachment
Jan 6 2020 by Sarah Oelrich
Choroidal detachment
Photographer: Sarah Oelrich CRA COT OCT-C
Imaging device: Optos
Condition/keywords: choroidal detachment, detachment, FA late phase
-
Angioid Streaks with Associated Disc Drusen and CNV
Jan 6 2020 by Sarah Oelrich
Angioid streaks with associated disc drusen and CNV.
Photographer: Sarah Oelrich CRA COT OCT-C
Imaging device: Topcon, Heidelberg
Condition/keywords: angioid streaks, choroidal neovascular membrane (CNVM), disc drusen
-
NVE with Hemorrhages
Jan 20 2020 by Sarah Oelrich
NVE with hemorrhages
Photographer: Sarah Oelrich CRA COT OCT-C Southeastern Retina Associates
Condition/keywords: hemorrhage, neovascularization elsewhere (NVE)
-
Multiple Cavernous Hemangioma
Jan 20 2020 by Sarah Oelrich
Multiple Cavernous Hemangioma
Photographer: Sarah Oelrich CRA COT OCT-C Southeastern Retina Associates
Condition/keywords: cavernous hemangioma of the retina
-
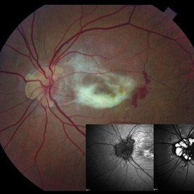
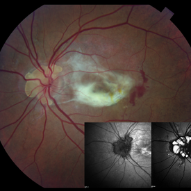
Morning Glory Disc
Jan 20 2020 by Sarah Oelrich
Morning Glory Disc
Photographer: Sarah Oelrich CRA COT OCT-C Southeastern Retina Associates
Imaging device: Topcon
Condition/keywords: Morning Glory Syndrome
