- 
            
             By Rengin Aslihan Sonmez, MD, FEBO By Rengin Aslihan Sonmez, MD, FEBO
 Baskent University-Istanbul-Turkey
 Co-author(s): Ziya Kapran, Professor of Ophthalmology
- Uploaded on Dec 29, 2019.
- Last modified by Rengin Aslihan Sonmez, MD, FEBO on Jan 2, 2020.
- Rating
- Appears in
- DRIL
- Condition/keywords
- DRIL-disorganization of the inner retinal layers
- Imaging device
- Heidelberg Spectralis
- Description
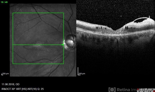
- 43-year-old otherwise healthy male presented with sudden painless vision loss in his right eye, he had typical fundus findings of central retinal artery occlusion with 574 microns of macular edema. Final optical coherence tomography of the right eye revealed disorganization of the inner retinal layers accompanied with 174 microns central retinal thickness.

 
        
 Initializing download.
                Initializing download. 
             
            