-
Disorganization of the Inner Retinal Layers
Dec 29 2019 by Rengin Aslihan Sonmez, MD, FEBO
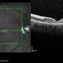
43-year-old otherwise healthy male presented with sudden painless vision loss in his right eye, he had typical fundus findings of central retinal artery occlusion with 574 microns of macular edema. Final optical coherence tomography of the right eye revealed disorganization of the inner retinal layers accompanied with 174 microns central retinal thickness.
Imaging device: Heidelberg Spectralis
Condition/keywords: DRIL-disorganization of the inner retinal layers
