-
By John S. King, MD
Retina Associates, PA
Co-author(s): Paul Hruby, MD - Uploaded on Nov 7, 2019.
- Last modified by John S. King, MD on Nov 17, 2019.
- Rating
- Appears in
- Pseudocystic Foveal Cavitation in Tamoxifen Retinopathy
- Condition/keywords
- tamoxifen maculopathy, tamoxifen retinopathy, tamoxifen toxicity, pseudocystic foveal cavitiation, foveal cavitation
- Photographer
- Gretchen Harper
- Description
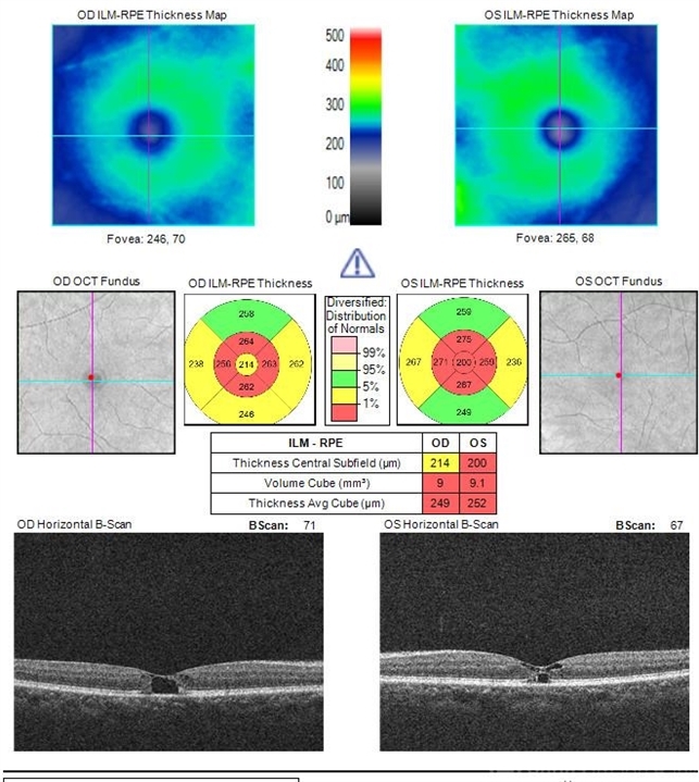
- 50-year-old female with breast cancer referred for CME had noticed gradual decrease in vision over the last 6-12 months; pseudocystic foveal cavitation due to tamoxifen retinopathy diagnosed by Dr. Hruby. Visual acuity cc 20/360, J16 OD and 20/40, J7 OS, normal IOPs, trace NSC OU. Bilateral pseudoholes noted on posterior segment exam without any retinal crystals. No leakage or tel vessels seen on the FA. Cystic cavitary alterations seen on the OCT with a large outer hole in the left eye. Plaquenil will be d/c.

Initializing download.