-
Tamoxifen Retinopathy with a Large atrophic, near full-thickness macular hole OD (Pseudocystic Foveal Cavitation)
Nov 7 2019 by John S. King, MD
50-year-old female with breast cancer referred for CME had noticed gradual decrease in vision over the last 6-12 months; pseudocystic foveal cavitation due to tamoxifen retinopathy diagnosed by Dr. Hruby. Visual acuity cc 20/360, J16 OD and 20/40, J7 OS, normal IOPs, trace NSC OU. Bilateral pseudoholes noted on posterior segment exam without any retinal crystals. No leakage or tel vessels seen on the FA. Cystic cavitary alterations seen on the OCT with a large outer hole in the left eye. Plaquenil will be d/c.
Photographer: Gretchen Harper
Condition/keywords: foveal cavitation, pseudocystic foveal cavitiation, tamoxifen maculopathy, tamoxifen retinopathy, tamoxifen toxicity
-
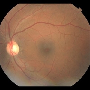
Pseudohole OS in Tamoxifen Retinopathy with Pseudocystic Foveal Cavitation
Nov 7 2019 by John S. King, MD
50-year-old female with breast cancer referred for CME had noticed gradual decrease in vision over the last 6-12 months; pseudocystic foveal cavitation due to tamoxifen retinopathy diagnosed by Dr. Hruby. Visual acuity cc 20/360, J16 OD and 20/40, J7 OS, normal IOPs, trace NSC OU. Bilateral pseudoholes noted on posterior segment exam without any retinal crystals. No leakage or tel vessels seen on the FA. Cystic cavitary alterations seen on the OCT with a large outer hole in the left eye. Plaquenil will be d/c.
Photographer: Gretchen Harper
Condition/keywords: foveal cavitation, pseudocystic foveal cavitiation, tamoxifen maculopathy, tamoxifen retinopathy, tamoxifen toxicity
-
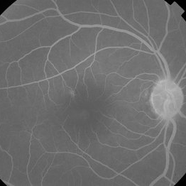
Tamoxifen Retinopathy Pseudocystic Foveal Cavitatio - FA Late
Nov 7 2019 by John S. King, MD
50-year-old female with breast cancer referred for CME had noticed gradual decrease in vision over the last 6-12 months; Pseudocystic foveal cavitation due to tamoxifen retinopathy diagnosed by Dr. Hruby. Visual acuity cc 20/360, J16 OD and 20/40, J7 OS, normal IOPs, trace NSC OU. Bilateral pseudoholes noted on posterior segment exam without any retinal crystals. No leakage or tel vessels seen on the FA. Cystic cavitary alterations seen on the OCT with a large outer hole in the left eye. Plaquenil will be d/c.
Photographer: Gretchen Harper
Condition/keywords: foveal cavitation, pseudocystic foveal cavitiation, tamoxifen maculopathy, tamoxifen retinopathy, tamoxifen toxicity
-
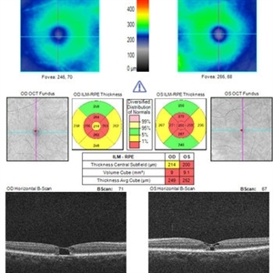
OCT OU Tamoxifen Retinopathy with Pseudocystic Foveal Cavitation
Nov 7 2019 by John S. King, MD
50-year-old female with breast cancer referred for CME had noticed gradual decrease in vision over the last 6-12 months; pseudocystic foveal cavitation due to tamoxifen retinopathy diagnosed by Dr. Hruby. Visual acuity cc 20/360, J16 OD and 20/40, J7 OS, normal IOPs, trace NSC OU. Bilateral pseudoholes noted on posterior segment exam without any retinal crystals. No leakage or tel vessels seen on the FA. Cystic cavitary alterations seen on the OCT with a large outer hole in the left eye. Plaquenil will be d/c.
Photographer: Gretchen Harper
Condition/keywords: foveal cavitation, pseudocystic foveal cavitiation, tamoxifen maculopathy, tamoxifen retinopathy, tamoxifen toxicity
-
OCT OD Tamoxifen Retinopathy with Pseudocystic Foveal Cavitation in Tamoxifen Retinopathy
Nov 7 2019 by John S. King, MD
50-year-old female with breast cancer referred for CME had noticed gradual decrease in vision over the last 6-12 months; pseudocystic foveal cavitation due to tamoxifen retinopathy diagnosed by Dr. Hruby. Visual acuity cc 20/360, J16 OD and 20/40, J7 OS, normal IOPs, trace NSC OU. Bilateral pseudoholes noted on posterior segment exam without any retinal crystals. No leakage or tel vessels seen on the FA. Cystic cavitary alterations seen on the OCT with a large outer hole in the left eye. Plaquenil will be d/c.
Photographer: Gretchen Harper
Condition/keywords: foveal cavitation, pseudocystic foveal cavitiation, tamoxifen maculopathy, tamoxifen retinopathy, tamoxifen toxicity
-
Tamoxifen Retinopathy with Pseudocystic Foveal Cavitation - FA Recirculation
Nov 7 2019 by John S. King, MD
50-year-old female with breast cancer referred for CME had noticed gradual decrease in vision over the last 6-12 months; pseudocystic foveal cavitation due to tamoxifen retinopathy diagnosed by Dr. Hruby. Visual acuity cc 20/360, J16 OD and 20/40, J7 OS, normal IOPs, trace NSC OU. Bilateral pseudoholes noted on posterior segment exam without any retinal crystals. No leakage or tel vessels seen on the FA. Cystic cavitary alterations seen on the OCT with a large outer hole in the left eye. Plaquenil will be d/c.
Photographer: Gretchen Harper
Condition/keywords: foveal cavitation, pseudocystic foveal cavitiation, tamoxifen maculopathy, tamoxifen retinopathy, tamoxifen toxicity
