-
By From the Collections of Thomas M. Aaberg, MD and Thomas M. Aaberg Jr., MD
- Uploaded on Feb 14, 2013.
- Last modified by Sam Trybalski on May 31, 2013.
- Rating
- Appears in
- Miscellaneous
- Condition/keywords
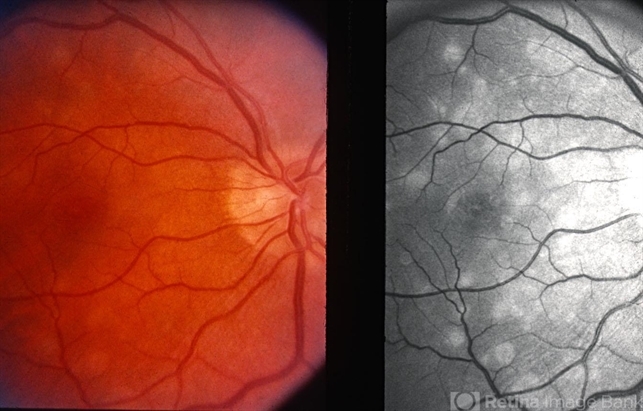
- multifocal choroiditis, white dot syndrome, posterior segment inflammation
- Description
- color and red-free photos showing multifocal choroiditis

Initializing download.